Vector-borne causes of fever in cats demand year-round preventive therapy

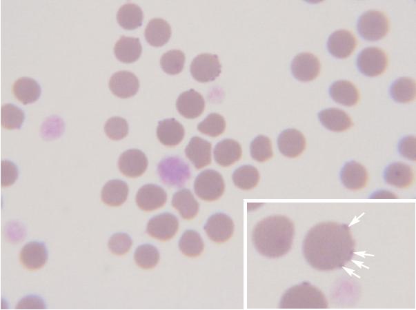
image: Blood smear (Wright's stain, x 100) showing a number of erythrocytes with small purple-staining Mycoplasma haemofelis organisms epicellularly (arrows in inset).

Image: 
Image courtesy of Dr. Severine Tasker

Increased body temperature is the single-most commonly noted abnormal finding for the medical practitioner. While it may be a sign of something relatively innocuous, it can also be an indication of underlying critical illness. In cats, an elevated body temperature equates to a reading in excess of 39.2°C or 102.5°F and, as in humans, it can arise as a result of two major mechanisms: hyperthermia and fever. Hyperthermia refers to a sudden and uncontrolled increase in temperature owing to failure of the body's thermoregulatory mechanism. By contrast, in fever (or pyrexia, from the Greek for 'fire' or 'burning heat'), the body's hypothalamic set-point is increased, secondary to the release of pyrogens, as the body's adaptive response to a pathological state.

In cats, fever typically presents with associated signs of depression and loss of appetite. For the veterinarian getting to the root of the problem in order that appropriate therapy can be implemented, there is a long list of differential diagnoses to consider, including infectious disease agents, neoplasia and immune-mediated diseases, among others. Based on a recent study of over 100 cats presenting to second-opinion veterinarians for investigation of fever, infectious causes are thought to be the most common.

Writing for an international audience of veterinary practitioners and feline researchers, an expert group of feline internists from the USA, Spain and the UK, led by Professor Michael Lappin of Colorado State University, provide an update on infectious agents associated with fever in cats that are transmitted by arthropod vectors. Published in the Journal of Feline Medicine and Surgery, their two-part state-of-the-art review article* focuses on common clinical and laboratory findings, and optimal diagnostic tests, treatments and strategies for prevention of a range of disease agents known or suspected to be transmitted by fleas, ticks and sandflies. Throughout, they stress that prevention of vector-borne infections is always preferable to treating clinically ill cats, and note that there is mounting evidence to show that consistent use of products that either rapidly kill vectors or, preferably, prevent vectors from biting a cat, is desirable.

Links between specific disease agents and fever in cats are not always clear-cut. For example, evidence of exposure to Bartonella species bacteria has been found in cats in many countries around the world, particularly in regions with high humidity and fleas. Well-documented manifestations of bartonellosis in cats include cardiac (endocarditis and myocarditis) and ocular (uveitis) disease, but whether fever will occur is likely influenced by a complex interaction involving both host and organism factors. Nevertheless, Bartonella henselae is common in fleas and known to survive at least 9 days in flea dirt. Professor Lappin stresses that adequate flea control is imperative to lessen the risk of infection in other cats, dogs and, indeed, people, in whom this agent is the cause of cat-scratch disease.

Among the tick-borne agents associated with feline fever are Ehrlichia species. Less is known about the particular causal agents of ehrlichiosis in cats compared with canine ehrlichiosis, but fever, together with lethargy and inappetence, is a commonly reported clinical abnormality in cats with suspected disease. Professor Lappin suggests that testing for these intracellular pathogenic bacteria might be indicated for cats with such signs and points to the importance of using preventive products that either rapidly kill attached ticks or, ideally, stop ticks from biting in the first place since it is known that, in dogs, Ehrlichia canis may be transmitted as early as 3 hours after tick attachment.

Commenting on the rationale for these two articles, the authors write: 'We hope that these pieces of work will help answer many of the questions faced by veterinary clinicians regarding vector-borne pathogens in our feline patients. They represent a collaborative effort to try to ensure the information is relevant to all readers in order to help combat diseases in cats that have traditionally been overlooked.'

Credit: 
SAGE