Treatment of malignant glioma using hyperthermia

Malignant glioma is very sensitive to heat. Prof. Yunlong Ge and team from the Second Affiliated Hospital of Harbin Medical University, China used a brain tumor hyperthermia apparatus to treat malignant glioma patients, and achieved good therapeutic efficacy. The researchers found that the blood-brain barrier within and surrounding the tumor was completely destroyed after hyperthermia treatment, and chemotherapy drugs could then reach and target the tumor. Meanwhile, hyperthermia and radiotherapy could contribute synergistically to the treatment of brain glioma. These findings were published in the Neural Regeneration Research (Vol. 8, No. 29, 2013).

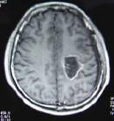
This is an MRI scan showing increased tumor necrosis and surrounding tissue with no obvious enhancement at 12 months after hyperthermia.

(Photo Credit: Neural Regeneration Research)

Source: Neural Regeneration Research