SWI assesses signal strength in different brain regions after acute hemorrhagic anemia

Acute hemorrhagic anemia can decrease blood flow and oxygen supply to brain, and affect its physiological function. Detecting changes in brain function in patients with acute hemorrhagic anemia is helpful for preventing neurological complications and evaluating therapeutic effects. Susceptibility-weighted imaging (SWI) imaging is a novel, non-invasive method for detecting changes in cerebral oxygen levels that may provide more detailed information regarding cerebral blood flow in patients with hemorrhage. Dr. Jun Xia, Second People's Hospital of Shenzhen City, First Affiliated Hospital of Shenzhen University, China and his team found that the SWI signals from the frontal cortex, temporal lobe, and thalamus after the second, third, fourth and fifth bloodletting procedures were significantly lower compared with the corresponding control (pre-bleed) values and that the contrast between cerebral gray and white matter was higher after bloodletting (particularly after the fourth and fifth procedures) than beforehand. These results provide the information regarding pathophysiological changes of the brain after acute hemorrphagic anemia. These findings were published in Neural Regeneration Research (Vol. 9, No. 9, 2014).

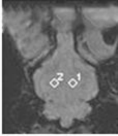
After the fifth bloodletting, the susceptibility-weighted imaging signal (diamonds 1 and 2) of the rabbit thalamus is significantly lower compared with pre-bleeding.

(Photo Credit: Neural Regeneration Research)

Source: Neural Regeneration Research