Stanford team develops an inexpensive technique to show how decisions light up the brain

video: Stanford researchers have developed a technique called COSMOS that can capture movies of neural activity throughout the curved cerebral cortex of a mouse brain. They have created a website to show other scientists how they can build this powerful but relatively inexpensive system to study perception and screen for better psychiatric drugs.

Image: 
Video courtesy of Isaac Kauvar and Timothy Machado.

When we make even simple decisions about how to interact with the world, we rely on computations performed by networks of neurons that span our brains. But what exactly are these neural networks computing?

Answering this question requires measuring the activity of lots of neurons throughout the brain as an animal makes a decision.

Now a team of Stanford researchers led by bioengineer Karl Deisseroth and electrical engineer Gordon Wetzstein - along with graduate student Isaac Kauvar and postdoctoral fellow Timothy Machado - has developed an optical technique that can simultaneously record the activity of neurons spread across the entire top surface of a mouse's cerebral cortex, a key part of the brain involved in making decisions. They published their findings in May in the journal Neuron.

Optical studies of the brain are not entirely new. Researchers already know how to track brain activity by using fluorescent dyes and proteins that emit light when a neuron fires. Until now, however, such optical techniques have not been able to record these faint flashes of light from many neurons, distributed across the curved surface of the cerebral cortex and working together to make a decision such as whether or not to take a drink of water.

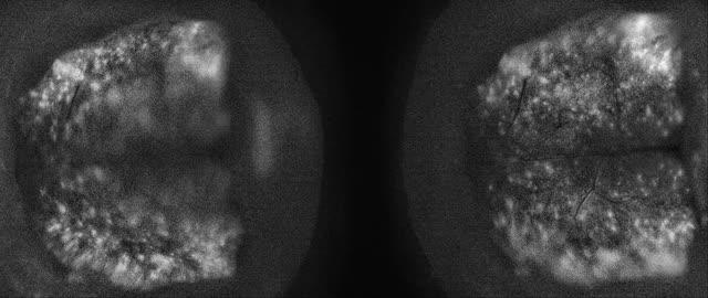
To overcome this barrier, the Stanford researchers designed a bifocal microscope - analogous to bifocal eyeglasses - that allows them to keep the entire curved surface of the brain in focus.

The bifocal microscope uses a single camera to capture two movies of neural activity at the same time: one focused on the sides of the brain, and the other focused on the middle, to provide a side-by-side view shown in a video (available for download with this release). The researchers then computationally extract signals - reflecting the timing, intensity and duration of when neurons fire - from both of these movies to obtain a comprehensive measurement of neural activity across the whole surface.

The researchers call this system Cortical Observation by Synchronous Multifocal Optical Sampling, or COSMOS. In addition to studying motor control and decision making, the team is also using COSMOS to study sensory perception in animals and as a screening technique to develop better psychiatric drugs.

The prototype COSMOS system is relatively simple to build and costs less than $50,000, which is hundreds of thousands of dollars cheaper than other optical systems for recording neural population dynamics. To encourage further adoption and development of the technique, the authors have built a website with instructions to help other researchers build their own COSMOS systems.

Credit: 
Stanford University School of Engineering