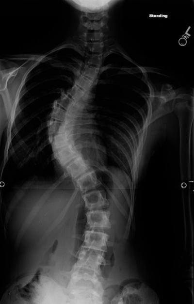
Severe scoliosis linked to rare mutations

Children with rare mutations in two genes are about four times more likely to develop severe scoliosis than their peers with normal versions of the genes, scientists have found. The research at Washington University School of Medicine in St. Louis has identified genetic risk factors that predispose children to develop s-shaped curves in their spines that are dramatic enough to require surgery.

"We've had a difficult time finding ways to predict who will develop severe scoliosis, and these newly identified mutations have the potential to be very helpful," said senior author Christina A. Gurnett, MD, PhD.

The findings appear online in Human Molecular Genetics.

Drugs currently in clinical trials block a major growth pathway that these mutated genes, fibrillin-1 and fibrillin-2, control. If the same pathway is involved in scoliosis, doctors might be able to use these drugs to prevent scoliosis in some children with these mutations.

One to 3 percent of the general population has some mild curvature of the spine. In about one in 10,000 children, scoliosis will produce curvature so pronounced that it requires corrective surgery.

"These children often don't have any curvature of the spine early in adolescence, but then they go through a growth spurt, and that's when the curve appears," said Gurnett, associate professor of neurology. "Others have tried to predict severe disease using gender, age of onset and type of spine curve but haven't been very successful."

In 91 patients with acute scoliosis, the scientists sequenced the portions of the patients' DNA that encode proteins.

Children with rare mutations in two genes are about four times more likely to develop severe scoliosis than their peers with normal versions of the genes, researchers have learned.

(Photo Credit: Matthew Dobbs)

The most consistently mutated gene in the group was fibrillin-1, which makes a protein important to the tissues that connect many components of the body. A related gene, fibrillin-2, also often was mutated.

Additional sequencing of those genes in 852 patients with scoliosis and 669 subjects with healthy spines revealed that patients with specific mutations in both fibrillin-1 and fibrillin-2 had four times the risk of severe scoliosis than people without the genetic errors. The researchers used a new cost-effective method they developed that reduced the cost of sequencing each patient's genes to about $30 from $3,000-4,000.

To date, scientists have identified more than 600 mutations in fibrillin-1. Among the most serious are the mutations that produce Marfan syndrome, a condition that can cause the long bones of the body to overgrow and can weaken the body's connective tissue.

"Some variants of this important gene are associated with unusual tallness," Gurnett said. "There appears to be a spectrum of effects caused by changes in the gene, from simple alterations in height to severe scoliosis to more life-threatening conditions such as Marfan syndrome."

Clinical trials are underway in patients with Marfan syndrome to see whether drugs that block TGF-beta, a growth pathway controlled by fibrillin-1, can help treat the disorder. Gurnett and her colleagues are watching to see if the drugs affect growth of the spine. If they do, researchers may investigate using them to prevent scoliosis.

The researchers continue to look for additional genetic risk factors.

"We're very confident that genetic studies are going to open up new avenues for diagnosis and treatment of scoliosis," said coauthor Matthew Dobbs, MD, professor of orthopaedic surgery, who treats patients at St. Louis Children's Hospital and Shriners Hospital.

"We want to create a genetic testing panel that we can use to more accurately predict who will need treatment," Gurnett said. "If we can develop effective treatments and apply them early enough, we might one day be able to prevent the need for surgeries."

Source: Washington University School of Medicine