Selective, toxin-bearing antibodies could help treat liver fibrosis

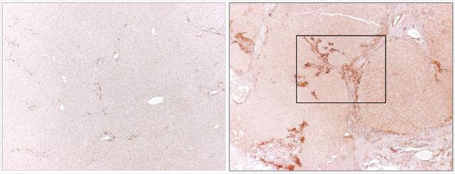
image: Normal liver tissues (left) do not produce mesothelin, while liver tissue from patients with primary sclerosing cholangitis do (right, darker staining). Mesothelin is a marker of liver fibrosis, and the target of a potential new therapy for liver disease.

Image: 
UC San Diego Health Sciences

Chronic alcohol abuse and hepatitis can injure the liver and lead to fibrosis, the buildup of collagen and scar tissue. As a potential approach to treating liver fibrosis, University of California San Diego School of Medicine researchers and their collaborators are looking for ways to stop liver cells from producing collagen.

"So we thought...what if we take immunotoxins and try to get them to kill collagen-producing cells in the liver," said team lead Tatiana Kisseleva, MD, PhD, associate professor of surgery at UC San Diego School of Medicine. "If these antibodies carrying toxic molecules can find and bind the cells, the cells will eat up the 'gift' and die."

In a study published July 12, 2021 in Proceedings of the National Academy of Sciences, Kisseleva and collaborators provide the first evidence that liver fibrosis might be treatable with immunotoxins designed to bind a protein called mesothelin. Mesothelin is rarely found in the healthy human body. Only cancer cells and collagen-producing liver cells, known as portal fibroblasts, make the protein.

Kisseleva teamed up with co-author Ira Pastan, MD, at the National Cancer Institute, part of the National Institutes of Health (NIH). Pastan is co-discoverer of mesothelin and an expert on using immunotoxins to target the protein on cancer cells. He leads several clinical trials testing the approach to treat patients with ovarian cancer, mesothelioma and pancreatic cancer.

To test Pastan's immunotoxins in the context of liver fibrosis, Kisseleva's team first needed a model. Since the immunotoxins specifically recognize human mesothelin, a traditional mouse model of liver fibrosis wouldn't work. Instead, they transplanted human liver cells isolated from patients to mice and treated them with the anti-mesothelin immunotoxin.

Compared to untreated mice, 60 to 100 percent of human mesothelin-producing cells were killed by the immunotoxins, which also reduced collagen deposition.

Treatment for liver fibrosis is currently very limited. According to the NIH, weight loss is currently the only known method for reducing liver fibrosis associated with non-alcoholic fatty liver disease. Alcoholic liver disease is most commonly treated with corticosteroids, but they are not highly effective. Early liver transplantation is the only proven cure, but it is offered only at select medical centers to a limited number of patients.

"What we want to know now is, can this same strategy be applied to other organs?" Kisseleva said. "Surprisingly enough, the same cells are responsible for fibrosis in the lung and kidneys. This is especially exciting because we already know from Dr. Pasten's cancer clinical trials that anti-mesothelin immunotoxins are safe in humans, potentially speeding up their application in other areas."

Credit: 
University of California - San Diego