Protective effects of dl-3n-butylphthalide against diffuse brain injury

Dl-3n-butylphthalide can effectively treat cerebral ischemia; however, the mechanisms underlying the effects of dl-3n-butylphthalide on microcirculation disorders following diffuse brain injury remain unclear. According to a study by Prof. Jianmin Li and team from Hebei United University of China, models of diffuse brain injury were established in Sprague-Dawley rats with the vertical impact method, and dl-3n-butylphthalide at 80 and 160 mg/kg was given via intraperitoneal injection immediately after diffuse brain injury. After administration of dl-3n-butylphthalide, reduced cerebral ultrastructure damage, increased vascular density and cerebral blood flow, and improved motor and sensory functions were observed. These findings, published in the Neural Regeneration Research (Vol. 8, No. 28, 2013), demonstrate that dl-3n-butylphthalide may have protective effects against diffuse brain injury by ameliorating microcirculation disorder and reducing blood-brain barrier damage and cerebral edema.

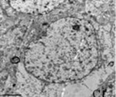
After administration of dl-3n-butylphthalide, cortical neurons in rats with diffuse brain injury have a clear nucleolus, smooth karyotheca, better con-tinuity, regular mitochondria shape, mostly tightly and regularly arranged complete cristae, and less shedding matrix granules.

(Photo Credit: Neural Regeneration Research)

Source: Neural Regeneration Research