PET/MRI, CT metrics assess pathologic response of pancreas cancer to neoadjuvant therapy

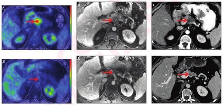
image: Pre-treatment (A-C) and post-treatment (D-F) images after eight cycles of systemic FOLFIRINOX and consolidative chemoradiation. Baseline CA 19-9 was 145 U/ml. Pre-treatment whole body axial fused PET/MRI showed FDG avid lesion in body of pancreas (arrow, A) with SUVmax 7.1 and SUVgluc 8.0. Lesion was hypo-enhancing on axial contrast-enhanced T1-weighted (T1W) MR image (arrow, B) from focused abdominal PET/MRI and on CT (arrow, C). Pre-treatment CT tumor volume was 10.3 cm3. Post-treatment whole body axial fused PET/MRI showed complete metabolic response (arrow D) with SUVmax 1.9 and SUVgluc 1.9. Lesion was indistinct on axial contrast-enhanced T1W MRI (arrow, E) and CT (arrow, F), and there was upstream pancreatic parenchymal atrophy. Post-treatment CT tumor volume was 0.46 cm3. There was normalization of CA 19-9. Relative change in SUVmax (ΔSUVgluc) was -73%, and relative change in SUVgluc (ΔSUVgluc) was -76%. Based on change in tumor size, response was categorized as partial response per RECIST. Relative change in tumor volume (ΔTvol) was -96%. Pathology showed major pathologic response (College of American Pathologists score 1.)

Image: 
American Roentgen Ray Society (ARRS), American Journal of Roentgenology (AJR)

Leesburg, VA, December 9, 2020--According to an open-access Editor's Choice article in ARRS' American Journal of Roentgenology (AJR), post-neoadjuvant therapy (NAT) changes in metabolic metrics from PET/MRI and morphologic metrics from CT were associated with pathologic response and overall survival in patients with pancreatic ductal adenocarcinoma (PDA).

"Imaging metrics associated with pathologic response and overall survival in PDA could help guide clinical management and outcomes for patients with PDA receiving emergent therapeutic interventions," wrote first author Ananya Panda of the department of radiology at the Mayo Clinic in Rochester, Minnesota.

Panda and colleagues' retrospective study included 44 patients (22 men, 22 women; average age 62) with 18F-FDG avid borderline resectable or locally advanced PDA on pre-treatment PET/MRI, who also underwent post-NAT PET/MRI prior to surgery between August 2016 and September 2019. CA 19-9, metabolic metrics from PET/MRI, and morphologic metrics from CT (n = 34) were compared between pathologic responders (College of American Pathologists scores 0 and 1] and nonresponders (scores 2 and 3).

In borderline resectable or locally advanced pancreatic cancer undergoing neoadjuvant therapy, pre- vs. post-treatment changes in tumor metrics on PET/MRI (complete metabolic response, ΔSUVmax, ΔSUVgluc) and CT (RECIST, volume change) were associated with major pathologic response (AUC = 0.71-0.83; p

Reiterating that PET/MRI and CT metrics can help guide post-NAT pancreatic cancer treatment decisions, the authors of this AJR article concluded that by comparison, serum CA 19-9 was not associated with pathologic response or survival.

Credit: 
American Roentgen Ray Society