Oncotarget: Therapeutic efficacy of liposomal Grb2 antisense oligodeoxynucleotide (L-Grb2)

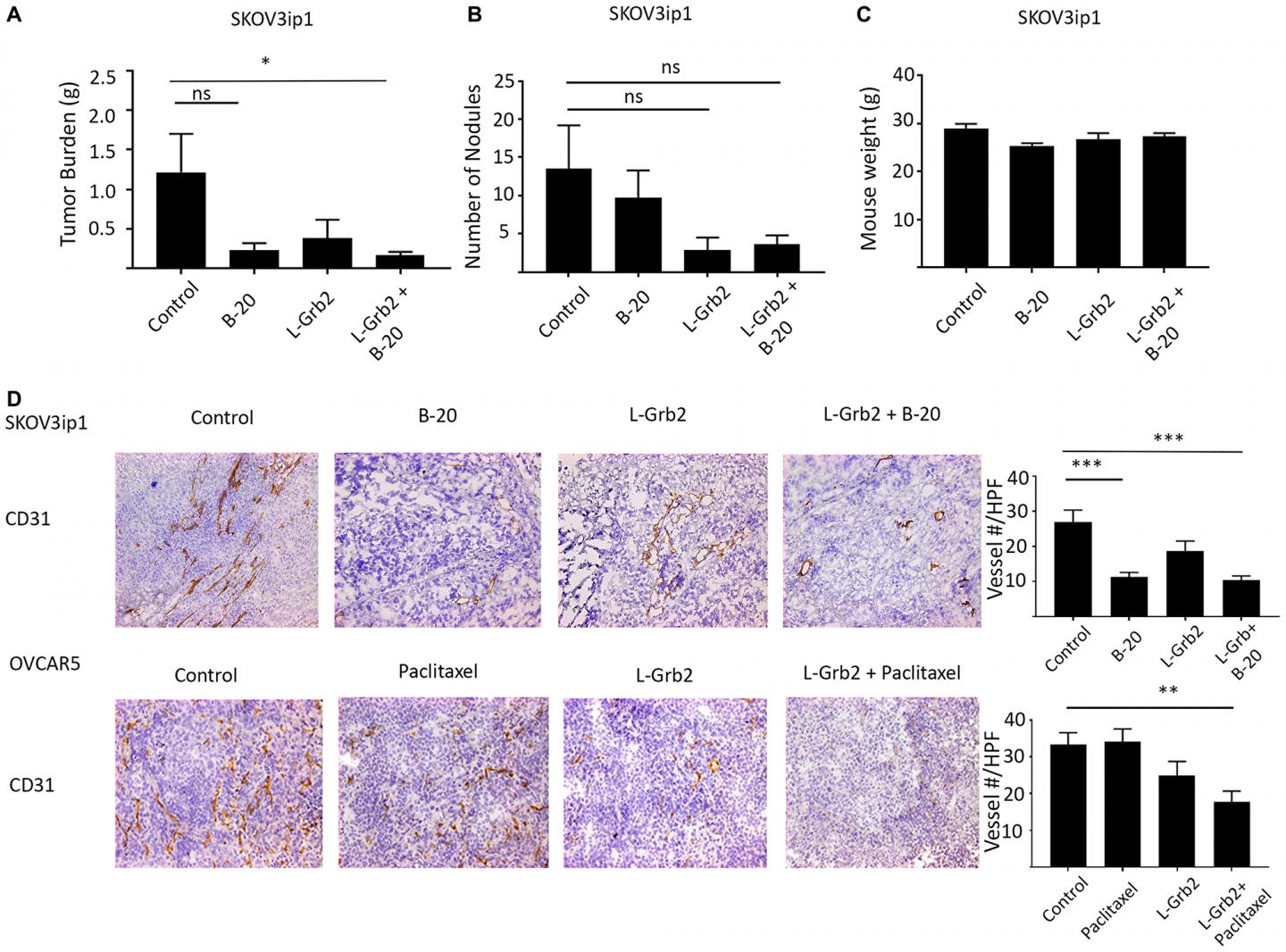
image: In vivo effects of treatment with L-Grb2 in combination with anti-angiogenic therapy in an ovarian tumor model. (A-C) Mean tumor weights in (A), numbers of metastatic nodules in (B), and body weights of (C) mice intraperitoneally inoculated with SKOV3ip1 cells that received control treatment, B-20 only (6.25 mg/kg) twice weekly, L-Grb2 only (15 mg/kg) twice weekly, or a combination of B-20 and L-Grb2 beginning 10 days after inoculation (n = 9 mice per group). (D) Tumors collected from the SKOV3ip1 and OVCAR5 models at the conclusion of in vivo therapeutic experiments were subjected to immunohistochemical staining for CD31 to evaluate the effects on tumor vessel number of treatment with L-Grb2, B-20, or both compared with the control treatment. Representative staining images taken at 20&times; magnification are shown. The mean CD31+ cell numbers per group are shown in the adjoining graphs. Five tumors per group were stained, and five representative images per sample were quantified for analysis. Error bars, SEM. All statistical tests were two-sided. Asterisk indicates statistical significance of ***p < 0.001, **p < 0.01, *p < 0.05. NS indicates non-significant.

Image: 
Correspondence to - Anil K. Sood - asood@mdanderson.org and Cristian Rodriguez-Aguayo - CRodriguez2@mdanderson.org

The cover for issue 29 of Oncotarget features Figure 5, "In vivo effects of treatment with L-Grb2 in combination with anti-angiogenic therapy in an ovarian tumor model," by Lara, et al. which reported that adaptor proteins such as growth factor receptor-bound protein-2 play important roles in cancer cell signaling. In the present study, the authors examined the biological effects of liposomal antisense oligodeoxynucleotide that blocks Grb2 expression in gynecologic cancer models.

Murine orthotopic models of ovarian and uterine cancer were used to study the biological effects of L-Grb2 on tumor growth.

In vitro experiments were carried out to elucidate the mechanisms and potential predictors of tumor response to L-Grb2. Treatment with L-Grb2 decreased tumor growth and metastasis in orthotopic models of ovarian cancer by reducing angiogenesis and increasing apoptosis at a dose of 15 mg/kg with no effect on mouse body weight.

Reverse-phase protein array analysis identified significant dysregulation of metabolites in ovarian cancer cells after Grb2 downregulation.

L-Grb2 has therapeutic efficacy in preclinical models of ovarian and uterine cancer.

"L-Grb2 has therapeutic efficacy in preclinical models of ovarian and uterine cancer."

Dr. Anil K. Sood and Dr. Cristian Rodriguez-Aguayo from The University of Texas MD Anderson Cancer Center said, "Adaptor proteins are essential for signal propagation after receptor tyrosine kinase (RTK) activation."

Druggable targets have often been proteins with enzymatically active sites to which small molecules could bind.

However, the ability to target previously undruggable targets is evolving. Small-molecule inhibitors rely on intracellular targets or antibodies to inhibit the activity of growth factors, cell surface receptors, and cytokines.

The development of nucleic acid interference-based therapeutics has allowed for regulation of gene expression to inhibit elusive targets.

Nucleic acid-based therapeutics involves a process in which RNA molecules or antisense oligonucleotides inhibit gene expression or translation by neutralizing targeted mRNA molecules.

After crossing the cell membrane, ASOs target mRNA directly through complementary base pair interactions, in the nucleus or cytosol, thus blocking and neutralizing targeted mRNAs.

The Sood/Rodriguez-Aguayo Research Team concluded in their Oncotarget Research Paper, "we report that L-Grb2 has promising antitumor activity in preclinical models of ovarian and uterine carcinoma.

Whereas the evidence of L-Grb2's activity against hematological malignancies is promising, whether it is active in clinical trials against solid tumors has yet to be tested.

Therapies targeting the ErbB2 receptor have had limited success in ovarian cancer, but L-Grb2 may be a better target given its status as an important converging point for cancer cell signaling pathways."

Sign up for free Altmetric alerts about this article

DOI - https://doi.org/10.18632/oncotarget.27667

Full text - https://www.oncotarget.com/article/27667/text/

Correspondence to - Anil K. Sood - asood@mdanderson.org and Cristian Rodriguez-Aguayo - CRodriguez2@mdanderson.org

Keywords -
ovarian cancer,
nucleic-acid based therapeutics,
therapeutic approaches,
uterine cancer

About Oncotarget

Oncotarget is a weekly, peer-reviewed, open access biomedical journal covering research on all aspects of oncology.

To learn more about Oncotarget, please visit https://www.oncotarget.com or connect with:

SoundCloud - https://soundcloud.com/oncotarget
Facebook - https://www.facebook.com/Oncotarget/
Twitter - https://twitter.com/oncotarget
LinkedIn - https://www.linkedin.com/company/oncotarget
Pinterest - https://www.pinterest.com/oncotarget/
Reddit - https://www.reddit.com/user/Oncotarget/

Oncotarget is published by Impact Journals, LLC please visit http://www.ImpactJournals.com or connect with @ImpactJrnls

Journal

Oncotarget

DOI

10.18632/oncotarget.27667

Credit: 
Impact Journals LLC