Oncotarget: CABYR-a/b and CABYR-c hold promise as targets for specific immunotherapy

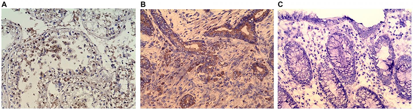
image: (A) Immunohistochemistry (IHC) staining of testis (positive control). (B) IHC staining of colonic adenocarcinoma. (C) IHC stating of Normal colonic mucosa (negative control). Purified rabbit anti-human CABYR polyclonal antibody for CABYR a/b and c antigen isoforms were used in IHC.

Image: 
Correspondence to - Richard L. Whelan - Rwhelan1@northwell.edu

Oncotarget published "The cancer testis antigens CABYR-a/b and CABYR-c are expressed in a subset of colorectal cancers and hold promise as targets for specific immunotherapy" which reported that Calcium-binding tyrosine phosphorylation-regulated protein is expressed in the human germ line but not in adult human tissues, thus, it is considered a cancer testis protein.

The aim of this study is to evaluate the CABYR isoforms: a/b and c mRNA expression in colorectal cancer and to determine if these proteins hold promise as vaccine targets.

CABYR mRNA expression in a set of normal human tissues, including the testis, were determined and compared using semi-quantitative PCR.

Analysis of CABYR protein expressions by immunohistochemistry in tumor and normal colon tissues was also performed.

The percent of patients with a relative expression ratio of malignant to normal tissues over 1 was 70% for CABYR a/b and 72% for CABYR c. The percent with both a M/N ratio over 1 and expression levels over 0.1% of testis was 23.4% for CABYR-a/b and 25.5% for CABYR c. CABYR expression in tumors was further confirmed by immunohistochemistry.

CABYR expression in tumors was further confirmed by immunohistochemistry

Dr. Richard L. Whelan from The Lenox Hill Hospital as well as The Donald and Barbara Zucker School of Medicine at Hofstra/Northwell said, "Colorectal cancer is the third diagnosed cancer type as well as the second most common reason of cancer death in the United States, [1] however, in the last 30 years, there has been a substantial improvement in colorectal cancer associated mortality."

Cancer Testis Antigens, a subcategory of Tumor Associated Antigens, are a group of proteins that hold specific promise because they are expressed in the human germ line, but not in adult human tissues.

As mentioned, because tumors express these proteins while normal adult tissues do not, select CTAs may have value as vaccine targets.

By performing real-time PCR to determine expression levels of CABYR a/b and c in the tissues of lung cancer patients, they were able to find expression in 36% and 42% of lung cancer tissues, respectively.

Additionally, CABYR c is highly expressed in hepatocellular carcinoma tissues and may play an oncogenic role in hepatocarcinogenesis, thus far, the expression of CABYR in colorectal tumors has not been previously studied.

The Whelan Research Team concluded in their Oncotarget Research Output that as regards the shortcomings of this study, the lack of plasma or serum auto-antibody data was already mentioned.

Other shortcomings of the study include the fact that while this study did include tumor samples from CRC stages 2–4 there were only two samples from stage IV patients and none from stage I patients.

Ideally, reasonable numbers of specimens for each cancer stage would be assessed; the need for Stage 4 tumors is especially important to determine if CABYR expression, in general and for the individual isoforms, correlates with disease stage.

Presently, because of the relatively small number of samples studied it is not possible to state whether CABYR expression correlates with tumor stage.

Finally, this report supplies no oncologic outcome data for the patients included in this study.

Sign up for free Altmetric alerts about this article

DOI - https://doi.org/10.18632/oncotarget.27897

Full text - https://www.oncotarget.com/article/27897/text/

Correspondence to - Richard L. Whelan - Rwhelan1@northwell.edu

Keywords -
cancer testis antigens,
colorectal cancer,
CABYR a/b, c

About Oncotarget

Oncotarget is a weekly, peer-reviewed, open access biomedical journal covering research on all aspects of oncology.

To learn more about Oncotarget, please visit https://www.oncotarget.com or connect with:

SoundCloud - https://soundcloud.com/oncotarget
Facebook - https://www.facebook.com/Oncotarget/
Twitter - https://twitter.com/oncotarget
LinkedIn - https://www.linkedin.com/company/oncotarget
Pinterest - https://www.pinterest.com/oncotarget/
Reddit - https://www.reddit.com/user/Oncotarget/

Oncotarget is published by Impact Journals, LLC please visit http://www.ImpactJournals.com or connect with @ImpactJrnls

Journal

Oncotarget

DOI

10.18632/oncotarget.27897

Credit: 
Impact Journals LLC