MRI pregnancy study gives new insights into the all-important placenta

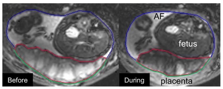
image: Example of the utero-placental pump, left the relaxed placenta before the contraction, right the contracted placenta (the placenta is the area with the red line around it): it's clear how the placenta is smaller during a contraction, pushing out the maternal blood.

Image: 
Dr Nelle Dellschaft, University of Nottingham

Using the very latest wide-bore magnetic resonance imaging (MRI) scanning equipment at the University of Nottingham experts found differences in blood flow to the placenta in healthy and pre-eclampsia pregnancies, a finding which could help understand why in pre-eclampsia the baby can be born small and pre-term.

The research published today in PLOS Biology also identified a completely new phenomenon which the researchers have termed the 'uteroplacental pump'. This involves contractions of placenta and the part of the uterine wall to which it is attached.

The placenta is vital in the transfer of the right amount of nutrition and oxygen from the mother to the baby. Any disturbance to the flow of blood could affect the delivery of vital nutrients restricting fetal growth. If the placenta is not working properly this can lead to pre-eclampsia.

In the placenta the fetal blood flows in tree-like villi which are bathed in a lake of the mother's blood, so that the two different blood supplies are kept separate. Changes in blood flow and oxygenation affects fetal growth and well-being.

Unprecedented insight

The research team scanned 34 women with healthy pregnancies and 13 women diagnosed with preeclampsia, gaining an unprecedented insight how the maternal blood percolates between the villi and how this affects placental oxygenation.

Dr Neele Dellschaft, from the University of Nottingham's School of Physics and Astronomy led the research, she explains: "I am part of a team of scientists who have used MRI to look at how blood flows through the placenta to deliver oxygen to the baby. We found that in healthy pregnancies the blood flows very slowly. This seems odd at first but our other measurements suggest that this is a way in which the placenta can function efficiently. We also found that the normal patterns of flow and oxygenation were much more variable in pre eclampsia, which can help explain why babies of pre-eclamptic pregnancies tend to be smaller and often have to be delivered before term.

Most excitingly, we also identified a completely new phenomenon which we called the 'uteroplacental pump'. This is a contraction of the placenta and the part of the uterine wall to which it is attached and it is not the same as the well-known Braxton Hicks contractions in which the entire uterus contracts in practice for labour. We now want to work out the purpose of these contractions but we think it might be to stop blood stagnating in parts of the placenta."

Professor Penny Gowland added: "At present we have no clinical tools to assess the function of the placenta directly, all we can do is assess the size and growth of the baby and blood flow in the umbilical cord using ultrasound. This research demonstrates that MRI is hugely effective in providing detailed information of exactly what is happening between the baby and the mother and what is changed in a pre-eclampsia pregnancy. It's also hugely exciting to have discovered a brand new physical phenomenon that takes place during pregnancy. We hope in the future this knowledge can be built upon by clinicians to better diagnose and manage conditions like preeclampsia."

Credit: 
University of Nottingham