MRI findings predict shoulder stiffness for rotator cuff tears

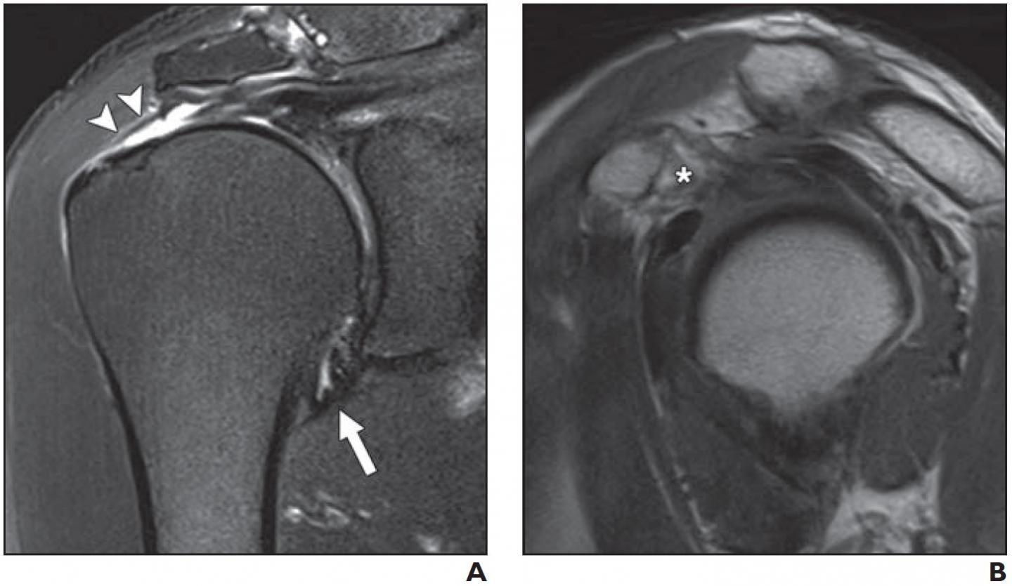
image: A: Oblique coronal fat-suppressed T2-weighted MR image shows normal hypointense joint capsule at axillary recess (arrow). Note full-thickness tear of supraspinatus tendon (arrowheads)
B: Oblique sagittal proton density MR image shows preserved subcoracoid fat triangle (asterisk)

Image: 
American Journal of Roentgenology (AJR)

Leesburg, VA, February 19, 2020--Two MRI findings--joint capsule edema and thickness at the axillary recess, specifically--proved useful in predicting stiff shoulder in patients with rotator cuff tears, according to an ahead-of-print article in the May issue of the American Journal of Roentgenology (AJR).

Studying 106 patients with small to large (

Tear size and location were determined by MRI findings and operative report, while associations between MRI findings and preoperative passive range of motion (ROM) were evaluated with simple and multiple linear regression analyses and proportional odds logistic regression analysis.

As Kim and colleagues wrote: "There was a significant, negative linear correlation between limited ROM at forward elevation and thickness of the joint capsule in the glenoid portion of the axillary recess (p = 0.018), external rotation and joint capsule edema in the humeral portion of the axillary recess (p = 0.011), and internal rotation and joint capsule edema in the glenoid portion of the axillary recess (p = 0.007)."

Fatty degeneration (p = 0.003) was an independent predictor of limited ROM on internal rotation. Meanwhile, male sex (p = 0.041) and posterosuperior rotator cuff tear (p = 0.030) were independent predictors of shoulder ROM on external rotation.

"This study is important," Kim et al. noted, "because it is the first to highlight joint capsule abnormality on MRI as a factor associated with stiff shoulder in patients with full-thickness rotator cuff tears."

Credit: 
American Roentgen Ray Society