MR spectroscopy shows differences in brains of preterm infants

CHICAGO – Premature birth appears to trigger developmental processes in the white matter of the brain that could put children at higher risk of problems later in life, according to a study being presented next week at the annual meeting of the Radiological Society of North America (RSNA).

Preterm infants—generally those born 23 to 36 weeks after conception, as opposed to the normal 37- to 42-week gestation—face an increased risk of behavioral problems, ranging from impulsiveness and distractibility to more serious conditions like autism and attention deficit hyperactivity disorder (ADHD).

"In the United States, we have approximately 500,000 preterm births a year," said Stefan Blüml, Ph.D., director of the New Imaging Technology Lab at Children's Hospital Los Angeles and associate professor of research radiology at the University of Southern California in Los Angeles. "About 60,000 of these babies are at high risk for significant long-term problems, which means that this is a significant problem with enormous costs."

Dr. Blüml and colleagues have been studying preterm infants to learn more about how premature birth might cause changes in brain structure that may be associated with clinical problems observed later in life. Much of the focus has been on the brain's white matter, which transmits signals and enables communication between different parts of the brain. While some white matter damage is readily apparent on structural magnetic resonance imaging (MRI), Dr. Blüml's group has been using magnetic resonance spectroscopy (MRS) to look at differences on a microscopic level.

In this study, the researchers compared the concentrations of certain chemicals associated with mature white matter and gray matter in 51 full-term and 30 preterm infants. The study group had normal structural MRI findings, but MRS results showed significant differences in the biochemical maturation of white matter between the term and preterm infants, suggesting a disruption in the timing and synchronization of white and gray matter maturation. Gray matter is the part of the brain that processes and sends out signals.

"The road map of brain development is disturbed in these premature kids," Dr. Blüml said. "White matter development had an early start and was 'out of sync' with gray matter development."

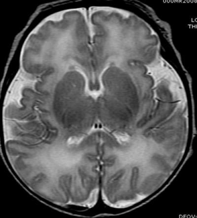
This image shows anatomy (MRI) -- 15 weeks premature.

(Photo Credit: Radiological Society of North America)

This false start in white matter development is triggered by events after birth, according to Dr. Blüml.

"This timeline of events might be disturbed in premature kids because there are significant physiological switches at birth, as well as stimulatory events, that happen irrespective of gestational maturity of the newborn," he said. "The most apparent change is the amount of oxygen that is carried by the blood."

Dr. Blüml said that the amount of oxygen delivered to the fetus's developing brain in utero is quite low, and our brains have evolved to optimize development in that low oxygen environment. However, when infants are born, they are quickly exposed to a much more oxygen-rich environment.

"This change may be something premature brains are not ready for," he said.

While this change may cause irregularities in white matter development, Dr. Blüml noted that the newborn brain has a remarkable capacity to adapt or even "re-wire" itself—a concept known as plasticity. Plasticity not only allows the brain to govern new skills over the course of development, like learning to walk and read, but could also make the brains of preterm infants and young children more responsive to therapeutic interventions, particularly if any abnormalities are identified early.

"Our research points to the need to better understand the impact of prematurity on the timing of critical maturational processes and to develop therapies aimed at regulating brain development," Dr. Blüml said.

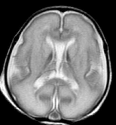
This image shows anatomy (MRI) -- at term.

(Photo Credit: Radiological Society of North America)

Source: Radiological Society of North America