Motor outcomes of patients with a complete middle cerebral artery territory infarct

The middle cerebral artery territory comprises the corticospinal tract, which is responsible for fine motor activity of the hands, and the corticoreticulospinal tract, which is involved in postural control and locomotor function, and therefore, motor weakness is one of the most disabling sequelae of a middle cerebral artery infarct. However, little is known about motor outcomes in patients with a complete middle cerebral artery territory infarct. Prof. Sung Ho Jang and colleagues from College of Medicine, Yeungnam University investigated 23 patients with a complete middle cerebral artery territory infarct subjected to comprehensive rehabilitative management, including movement therapy and neuromuscular electrical stimulation of the affected finger extensors and ankle dorsiflexors, for more than 3 months. After receiving rehabilitation treatments for 6 months, the motor function of the lower extremities was found to be better than that of the upper extremities, and about 70% of these patients were able to walk independently, but no patient achieved functional hand recovery. These data, published in the Neural Regeneration Research (Vol. 8, No. 20, 2013), will provide supporting evidence for developing rational rehabilitation strategies and establishing proper goals for stroke patients.

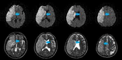
Diffusion-weighted (upper panel) and T2-weighted (lower panel) magnetic resonance images of a 55-year-old male patient with a complete middle cerebral artery territory infarct (arrows).

(Photo Credit: Neural Regeneration Research)

Source: Neural Regeneration Research