Molecular master switch for pancreatic cancer identified, potential predictor of treatment outcome

PHILADELPHIA – A recently described master regulator protein may explain the development of aberrant cell growth in the pancreas spurred by inflammation

A team from the Perelman School of Medicine at the University of Pennsylvania profiled gene expression of mouse pancreatic ductal and duct-like cells from different states - embryonic development, acute pancreatitis and K-ras mutation-driven carcinogenesis - to find the molecular regulation of these processes.

Broadly speaking, two cellular compartments are important in a normal pancreas, endocrine cells, which produce hormones including insulin, and exocrine cells – acinar and ductal -- which make and secrete digestive enzymes.

A cover article from the lab of Anil Rustgi, MD, Chief, Division of Gastroenterology, published early online in Genes and Development, details the molecular changes of exocrine cells during inflammation, so-called acinar-ductal metaplasia (ADM), a prelude to pancreatic ductal adenocarcinoma.

They used cell lineage tracing to follow what happens to the regulator protein called Prrx1 as cells change characteristics. Another protein, Sox9, which is downstream of Prrx1 in the cell signal pathway, is also important in understanding how pancreatic cancer forms, as the group has established the first link of Prrx1 to Sox9. The findings suggest that Prrx1 and Sox9 influence the emergence of an intermediate cell type that can give rise to cancer.

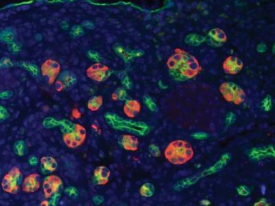
An intermediate cell type which emerges during inflammation and regeneration in acute pancreatitis regulated by the transcription factor Prrx1, termed acinar-to-ductal metaplasia.

(Photo Credit: Maximilian Reichert, MD, Perelman School of Medicine, University of Pennsylvania)

Inflammation is Key Culprit

Inflammation of the pancreas, or pancreatitis, is a leading reason for hospital admission, according to the National Institute of Diabetes and Digestive and Kidney Diseases (NIDDK), and chronic pancreatitis is a risk factor for cancer of the pancreas. Each year, about 210,000 people in the United States are admitted to the hospital with acute pancreatitis.

Acute pancreatitis is caused by alcohol abuse, gallstones, and autoimmune disorders. When things go wrong, inflammatory pancreatitis happens, and the change from an acute state to a chronic state can lead to cancer.

When a patient recovers from pancreatitis, the change in cell fate reverts to the original cell type. But, if the pancreatitis is chronic, changed cells stay changed.

"We hope that studies like this one that identify key molecules and pathways that govern the cancerous fate of cells can be used as diagnostic predictors of treatment outcome and severity for cancer," says Rustgi.

Source: University of Pennsylvania School of Medicine