Meat, egg and dairy nutrient essential for brain development

This news release is available in French.

Asparagine, found in foods such as meat, eggs, and dairy products, was until now considered non-essential because it is produced naturally by the body. Researchers at the University of Montreal and its affiliated CHU Sainte-Justine Hospital found that the amino acid is essential for normal brain development. This is not the case for other organs. "The cells of the body can do without it because they use asparagine provided through diet. Asparagine, however, is not well transported to the brain via the blood-brain barrier," said senior co-author of the study Dr. Jacques Michaud, who found that brain cells depend on the local synthesis of asparagine to function properly. First co-author José-Mario Capo-Chichi and colleague Grant Mitchell also made major contributions to the study.

In April 2009, a Quebec family experienced the worst tragedy for parents: before the age of one, one of their sons died of a rare genetic disease causing congenital microcephaly, intellectual disability, cerebral atrophy, and refractory seizures. The event was even more tragic because it was the third infant to die in this family from the same disease.

This tragedy led Dr. Michaud to discover the genetic abnormality responsible for this developmental disorder. "We are not at the verge of a miracle drug," Michaud said, "but we at least know where to look."

The team identified the gene affected by the mutation code for asparagine synthetase, the enzyme responsible for synthesizing the amino acid asparagine. The study is the first to associate a specific genetic variant with a deficiency of this enzyme. "In healthy subjects, it seems that the level of asparagine synthetase in the brain is sufficient to supply neurons," Michaud said. "In individuals with the disability, the enzyme is not produced in sufficient quantity, and the resulting asparagine depletion affects the proliferation and survival of cells during brain development."

Potential treatment

Children who are carriers of this mutation suffer, to varying degrees, from a variety of symptoms, including intellectual disability and cerebral atrophy, which can lead to death. The Quebec family lost three infant sons to this disorder. Two of their other children are alive and healthy.

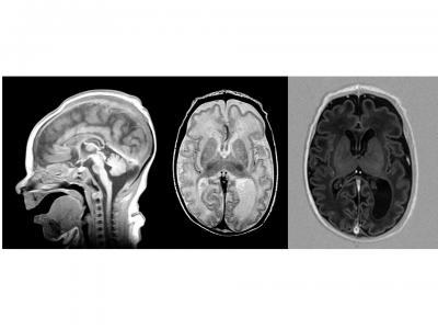
A genetic defect disrupts brain development by affecting the synthesis of asparagine, an amino acid until now thought to be non-essential. The discovery was made by researchers at CHU Sainte-Justine and the University of Montreal. This image shows MRI Images taken from a child who later died from the defect.

Une anomalie génétique perturbe le développement du cerveau en altérant la synthèse de l'asparagine, un acide aminé jugé jusqu'à ce jour non essentiel. Cette découverte a été réalisée par des chercheurs du CHU Sainte-Justine et de l'Université de Montréal. Ces images IRM (MRI) illustrent le cerveau d'un enfant touché par l'anomalie qui décédera par la suite.

(Photo Credit: Universite de Montreal.)

Knowledge about gene mutations can be used to develop treatments. "Our results not only open the door to a better understanding of the disease," Michaud said, "but they also give us valuable information about the molecular mechanisms involved in brain development, which is important for the development of new treatments."

For example, asparagine supplement could be given to infants to ensure an adequate level of asparagine in the brain and the latter's normal development. "The amount of supplementation remains to be determined, as well as its effectiveness," said the geneticist. "Since these children are already born with neurological abnormalities, it is uncertain whether this supplementation would correct the neurological deficits."

Creating a pediatric clinical genomics centre

To date, nine children from four different families have been identified as carriers of the mutation: three infants from Quebec, three from a Bengali family living in Toronto, and three Israelis, whose symptoms are less severe.

Dr. Michaud's team discovered the genetic mutation by comparing the complete DNA of the Quebec family's children with symptoms of the disease. The researchers then identified children, among other families, who carried the single candidate gene. The gene was revealed only in the affected children, but not in the unaffected children of the families studied.

The discovery comes at a time when CHU Sainte-Justine Mother and Child University Hospital has reached an agreement with Génome Québec to create the first pediatric clinical genomic centre in Canada. "This initiative will transform the quality of care for younger patients to ensure better prevention from childhood," says Dr. Michaud. "More than 80% of genetic diseases occur in childhood or adolescence. "This new technology will allow us to sequence all the genes in the genome and obtain a genetic portrait of the children more quickly to know which disease they suffer from and to provide treatment, if available, or when it becomes available."

Source: University of Montreal