Lizard tails detach at a biological 'dotted line'

Like sheets of paper marked with perforated lines, gecko tails have unique structural marks that help them sever their tails to make a quick getaway. Though voluntarily shedding a body part in this manner is a well-known phenomenon, research published December 19 in the open access journal PLOS ONE reveals aspects of the process that may have applications for structural engineers making similar, quickly detachable structures.

Jan Enghild and colleagues from Aarhus University, Denmark, used advanced bio-imaging techniques to discover that a Tokay gecko sheds its tail along pre-formed "score lines" in specific regions of the tail, which is held together by adhesive forces at these lines. The process of separation is independent of protein-cleaving enzymes, and microstructures at the ends of muscle fibers are most likely involved in the release of the tail. Enghild adds, "Our work has been driven by a curiosity to understand how tail autotomy is facilitated among lizards. In the present work we use a combination of advanced protein- and high-resolution imaging- techniques to address the mechanism involved in the process."

Wedge-shaped extensions (cranial margins of individual tail muscles) projecting from the proximal end of the released tail stump demonstrate the presence of ‘‘mushroom-shaped’’ structures at the termini of the muscle fibers after autotomy. These structures are present on all sides of the extensions except on the outer part.

(Photo Credit: Sanggaard KW, Danielsen CC, Wogensen L, Vinding MS, Rydtoft LM, et al. (2012) Unique Structural Features Facilitate Lizard Tail Autotomy. PLoS ONE 7(12): e51803. doi:10.1371/journal.pone.0051803)

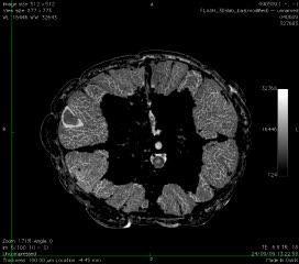
Bridging structures are not present between tail segments.

(Photo Credit: Sanggaard KW, Danielsen CC, Wogensen L, Vinding MS, Rydtoft LM, et al. (2012) Unique Structural Features Facilitate Lizard Tail Autotomy. PLoS ONE 7(12): e51803. doi:10.1371/journal.pone.0051803)

The muscle fibers in successive tail segments display an interdigitated structure.

(Photo Credit: Sanggaard KW, Danielsen CC, Wogensen L, Vinding MS, Rydtoft LM, et al. (2012) Unique Structural Features Facilitate Lizard Tail Autotomy. PLoS ONE 7(12): e51803. doi:10.1371/journal.pone.0051803)

Source: Public Library of Science