L-3-n-butylphthalide protects against cognitive dysfunction in vascular dementia

3-N-butylphthalide, a green botanical medicine, is a successfully synthesized and stable chemical drug used for the treatment of ischemic stroke that has independent intellectual property rights in China. The first L-isomer, originally extracted from celery seed, was artificially synthesized from racemic acid, also known as butylphthalide. L-3-n-butylphthalide has been shown to reduce β-amylase-induced neuronal apoptosis and improve cognitive function in Alzheimer's disease animal models. As a neuroprotective drug for cerebrovascular disease, 3-n-butylphthalide has been confirmed to protect nerve cells in animal experiments of stroke. Because of the significant effects of l-3-n-butylphthalide in the clinical treatment of acute ischemic stroke, Yaping Wei and colleagues from Hebei Medical University also adopted l-3-n-butylphthalide for the treatment of vascular dementia. These researchers are the first to report that pretreatment with l-3-n-butylphthalide can improve cognitive deficits and neuronal loss in the hippocampus of cerebral repetitive ischemia/reperfusion mice. L-3-n-butylphthalide may be a potentially beneficial and promising drug for the treatment and prevention of vascular dementia through upregulation of Akt expression in the hippocampus. These results are published in the Neural Regeneration Research (Vol. 8, No. 19, 2013).

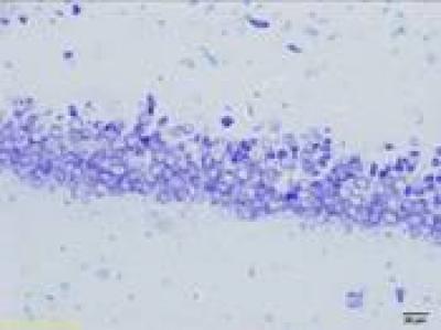
Pretreatment with l-3-n-butylphthalide can prevent against neuronal loss in the hippocampus of cerebral repetitive ischemia/reperfusion mice.

(Photo Credit: Neural Regeneration Research)

Source: Neural Regeneration Research