The Josep Carreras Institute identifies a marker of poor evolution in Hodgkin's lymphoma

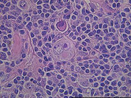
image: Light microscope image of Hodgkin lymphoma, with its characteristic rounded formation called the Reed-Sternberg cell right in the center of the photograph.

Image: 
@JosepCarrerasInstitute

Hodgkin lymphoma is one of the most common hematological cancers and is an example of how medical research has changed the prognosis of the disease. If a few decades ago it was a tumor with a very bad clinical evolution in almost all patients, the introduction of new drugs has made it a curable tumor in 85% of cases. However, there is 15% of Hodgkin lymphomas that do not respond to therapy and that continue to have a reduced survival.

Today, an article published in the journal Blood, the official organ of expression of the American Society of Hematology (ASH), by the group of Dr. Manel Esteller, Director of the Josep Carreras Leukemia Research Institute (IJC), Professor of ICREA research and Professor of Genetics at the University of Barcelona, ??discovers a marker that allows predicting which patient with Hodgkin's lymphoma will present an aggressive clinical course, and will therefore be a case of special risk.

Credit: 
Josep Carreras Leukaemia Research Institute