Ischemic preconditioning for cerebral infarction: Is it related to upregulation of VEGF?

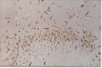
Neuroprotection by ischemic preconditioning has been confirmed by many studies, but the precise mechanism remains unclear. In a study released in the Neural Regeneration Research (Vol. 9, No. 11, 2014), Dr. Yong Liu and co-workers from Tongji Hospital Affiliated to Tongji Medical College, Huazhong University of Science and Technology, China performed cerebral ischemic preconditioning in rats by simulating a transient ischemic attack, and explored the mechanism underlying the neuroprotective effect of ischemic preconditioning. Researchers discovered that the infarct volume became significantly smaller underwent preconditioning. Furthermore, vascular endothelial growth factor immunoreactivity was considerably greater in the hippocampal CA3 region of preconditioned rats. Their results suggest that the protective effects of ischemic preconditioning on focal cerebral infarction are associated with upregulation of vascular endothelial growth factor.

In the pretreatment group, there were more vascular endothelial growth factor-positive cells in the hippocampal CA3 region of cerebral infarction rats (immunohistochemical staining)

(Photo Credit: Neural Regeneration Research)

Source: Neural Regeneration Research