Irreversible tissue loss seen within 40 days of spinal cord injury

A spinal cord injury changes the functional state and structure of the spinal cord and the brain. For example, the patients' ability to walk or move their hands can become restricted. How quickly such degenerative changes develop, however, has remained a mystery until now. The assumption was that it took years for patients with a spinal cord injury to also display anatomical changes in the spinal cord and brain above the injury site. For the first time, researchers from the University of Zurich and the Uniklinik Balgrist, along with English colleagues from University College London (UCL), now demonstrate that these changes already occur within 40 days of acute spinal cord injury.

Spinal cord depletes rapidly

The scientists studied 13 patients with acute spinal cord injuries every three months for a year using novel MRI (magnetic resonance imaging) protocols. They discovered that the diameter of the spinal cord had rapidly decreased and was already seven percent smaller after twelve months. A lesser volume decline was also evident in the corticospinal tract, a tract indispensable for motor control, and nerve cells in the sensorimotor cortex. The extent of the degenerative changes coincided with the clinical outcome. "Patients with a greater tissue loss above the injury site recovered less effectively than those with less changes," explains Patrick Freund, the investigator responsible for the study at the Paraplegic Center Balgrist.

Gaining insights into effect of therapies

Treatments targeting the injured spinal cord have entered clinical trials. Gaining insights into mechanisms of repair and recovery within the first year are crucial. Thanks to the use of the new neuroimaging protocols, Freund says, we now have the possibility of displaying the effect of therapeutic treatments on the central nervous system and of rehabilitative measures more quickly. Consequently, the effect of new therapies can also be recorded more rapidly.

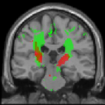
This shows MRI protocol. Red: This shows dynamic tissue loss in the corticospinal tract and sensorimotor cortex after twelve months of spinal cord injury. Green: These are spots with reduced myelin layer.

(Photo Credit: Picture: UZH)

"This study is an excellent example of the value of combining the complementary expertise of the two universities," says UCL's Dean of Brain Sciences, Professor Alan Thompson, who is one of the senior authors of the study. "It provides exciting new insights into the complications of spinal cord trauma and gives us the possibility of identifying both imaging biomarkers and therapeutic targets."

Source: University of Zurich