How is the genome like an open book? New research shows cells' 'library system'

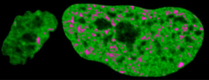
image: Nucleus of a stem cell (left) and its differentiated progeny (right) with liquid-like (green) and gel-like (magenta) parts of the genome.

Image: 
Courtesy of Alexandra Zidovska, NYU's Department of Physics

The organization of the human genome relies on physics of different states of matter - such as liquid and solid - a team of scientists has discovered. The findings, which reveal how the physical nature of the genome changes as cells transform to serve specific functions, point to new ways to potentially better understand disease and to create improved therapies for cancer and genetic disorders.

The genome is the library of genetic information essential for life. Each cell contains the entire library, yet it uses only part of this information. Special types of cells, such as a white blood cell or a neuron, have only certain "books" open - those containing information relevant for their function. Researchers have long sought to determine how the genome manages these enormous libraries and allows access to the "books" that are needed, while storing away the ones not in use.

In the newly published study, which appears in the journal Physical Review Letters, the researchers revealed how this happens within a cell.

"We found that the parts of the genome that are being used are liquid, while the unused parts form solid-like islands," explains Alexandra Zidovska, an assistant professor in New York University's Department of Physics and the senior author of the study. "These solid-like islands serve as library bookshelves storing the books with genes not currently in use, while the liquid genome part acts like an 'open book,' which is readily accessible and used for a cell's life and function."

The genome's genetic information is encoded in the DNA molecule. Proper reading and processing of this information is critical for human health and aging. In a human cell, the genome, which contains the genetic code, is housed in the cell nucleus. Barely 10 micrometers in size - or about 10 times smaller than the width of a strand of human hair - it stores about two meters of DNA.

Storing this vast amount of genetic information in such a small space requires packing in such a way so that each piece of DNA, and thus of genetic code, is easily accessible when needed.

What had been less understood is how this information was stored and what was the role of physics in it.

To explore this phenomenon, the researchers, who also included Iraj Eshghi and Jonah Eaton, NYU doctoral candidates, compared cells before and after they become specialized.

Specifically, the scientists mapped motions of the genome in nuclei of mouse stem cells - those that do not yet have a specialized function, but are poised to become any cell type, such as a neuron or a white blood cell - and then let these cells undergo a differentiation into neuronal cells before mapping the genomic motions again. In doing so, they generated the first-ever maps of a genome's motions before and after cell differentiation.

Here they found that stem cells keep their genome "open" - making it as accessible as an open book, with "genetic pages" being easily reachable.

However, the mapping also showed that once a stem cell becomes a specialized cell, e.g. a neuron, this specialized cell keeps readily accessible only parts of the genome that are needed for its specific function. It puts away the unused parts of the genome on "bookshelves." This leaves more space for information that is being actively read out and processed.

"These motions tell us exactly how accessible the genome is in a given place in the cell nucleus," explains Zidovska. "Moreover, these motions reveal the physical state of different parts of the genome, with liquid parts corresponding to loosely packed DNA, and solid-like parts corresponding to tightly packed DNA gels. The genome packing in these different states of matter directly impacts the genome's accessibility; the liquid parts are accessible, in contrast to the solid-like parts. The amazing thing is that this organization relies on physics of different states of matter, liquid and solid."

"Measuring motions of distinct parts of the genome allowed us to show these different physical properties of different parts of the genome, and thus understand the genome organization--the cell's 'library system,' " she adds.

A proper cellular filing system is vital for human health, the researchers note.

"Considering the vast number of cell types in the human body, if a book is missing or misplaced in this cellular library, it may lead to missing or unnecessary information, possibly leading to developmental and inherited disorders as well as afflictions such as cancer," explains Zidovska. "Therefore, revealing how the genome is organized inside the cell nucleus is critical to our understanding of these conditions and diseases. Moreover, such knowledge may help us in designing future therapies and diagnostics of such disorders."

Credit: 
New York University