Gum bacteria implicated in Alzheimer's and other diseases

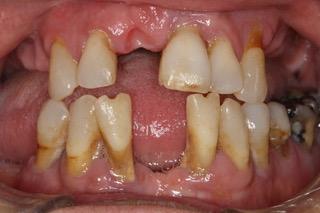
image: The mouth of a person with severe gum disease. Bacteria involved in periodontitis have been linked with Alzheimer's disease, aspiration pneumonia, rheumatoid arthritis and other common disorders.

Image: 
Image courtesy of Jan Potempa, University of Louisville.

Orlando, Fla. (April 7, 2019) - Researchers are reporting new findings on how bacteria involved in gum disease can travel throughout the body, exuding toxins connected with Alzheimer's disease, rheumatoid arthritis and aspiration pneumonia. They detected evidence of the bacteria in brain samples from people with Alzheimer's and used mice to show that the bacterium can find its way from the mouth to the brain.

The bacterium, Porphyromonas gingivalis, is the bad actor involved in periodontitis, the most serious form of gum disease. These new findings underscore the importance of good dental hygiene as scientists seek ways to better control this common bacterial infection.

"Oral hygiene is very important throughout our life, not only for having a beautiful smile but also to decrease the risk of many serious diseases," said Jan Potempa, PhD, DSc, a professor at the University of Louisville School of Dentistry and head of the department of microbiology at Jagiellonian University in Krakow, Poland. "People with genetic risk factors that make them susceptible to rheumatoid arthritis or Alzheimer's disease should be extremely concerned with preventing gum disease."

While previous researchers have noted the presence of P. gingivalis in brain samples from Alzheimer's patients, Potempa's team, in collaboration with Cortexyme, Inc., offers the strongest evidence to date that the bacterium may actually contribute to the development of Alzheimer's disease. Potempa will present the research at the American Association of Anatomists annual meeting during the 2019 Experimental Biology meeting, held April 6-9 in Orlando, Fla.

The researchers compared brain samples from deceased people with and without Alzheimer's disease who were roughly the same age when they died. They found P. gingivalis was more common in samples from Alzheimer's patients, evidenced by the bacterium's DNA fingerprint and the presence of its key toxins, known as gingipains.

In studies using mice, they showed P. gingivalis can move from the mouth to the brain and that this migration can be blocked by chemicals that interact with gingipains. An experimental drug that blocks gingipains, known as COR388, is currently in phase 1 clinical trials for Alzheimer's disease. Cortexyme, Inc. and Potempa's team are working on other compounds that block enzymes important to P. gingivalis and other gum bacteria in hopes of interrupting their role in advancing Alzheimer's and other diseases.

The researchers also report evidence on the bacterium's role in the autoimmune disease rheumatoid arthritis, as well as aspiration pneumonia, a lung infection caused by inhaling food or saliva.

"P. gingivalis's main toxins, the enzymes the bacterium need to exert its devilish tasks, are good targets for potential new medical interventions to counteract a variety of diseases," said Potempa. "The beauty of such approaches in comparison to antibiotics is that such interventions are aimed only at key pathogens, leaving alone good, commensal bacteria, which we need."

P. gingivalis commonly begins to infiltrate the gums during the teenage years. About one in five people under age 30 have low levels of the bacterium in their gums. While it is not harmful in most people, if it grows to large numbers the bacteria provoke the body's immune system to create inflammation, leading to redness, swelling, bleeding and the erosion of gum tissue.

Making matters worse, P. gingivalis even causes benign bacteria in the mouth to change their activities and further increase the immune response. Bacteria can travel from the mouth into the bloodstream through the simple act of chewing or brushing teeth.

The best way to prevent P. gingivalis from growing out of control is by brushing and flossing regularly and visiting a dental hygienist at least once a year, Potempa said. Smokers and older people are at increased risk for infection. Genetic factors are also thought to play a role, but they are not well understood.

Jan Potempa will present this research on Sunday, April 7, from 1-1:30 p.m. in Room W208A, Orange County Convention Center (abstract). Contact the media team for more information or to obtain a free press pass to attend the meeting.

Credit: 
Experimental Biology