Embolic material at site of fatal hemorrhage occurring days after flow-diversion aneurysm treatment

Charlottesville, VA (December 10, 2013). It started as a medical mystery and became a cautionary tale. Fatal hemorrhages occurred in the brains of two patients several days after successful cerebral aneurysm treatment with the Pipeline™ Embolization Device (PED). These hemorrhages were located in the same vascular territory as the treated aneurysms but were not close enough to the lesions to be directly linked to the aneurysms or their treatment. Over time, physicians began to suspect that these were not isolated hemorrhages, but in fact, were occurring in approximately 4% of patients treated in this manner. In the second patient (Case 1 in this paper), embolic non-biological material had been found close to the site of hemorrhage, but the nature of the material and its relationship to the hemorrhage was unclear. When a third patient at a distant institution (Case 2) developed a similar delayed hemorrhage, the treating physicians were advised to check carefully for the presence of embolic foreign material. When the material was confirmed to be present in the third patient (Case 2), preserved tissue from the first patient (Case 3) was re-examined and the embolic material, albeit in lesser amounts, was identified adjacent to the hemorrhagic area. The source of this material became the next question to answer.

Autopsy specimens in all three patients contained collections of non-biological material at the site of brain hemorrhage. Tests showed this material to be polyvinylpyrrolidone (PVP), a water-soluble polymer with various applications such as an adhesive in glue sticks, a binder in pharmaceutical tablets, and a lubricant coating in catheters. Deposits of PVP were found in the hemorrhagic areas, clogging blood vessels and extending into surrounding brain tissue. The only other place in the brain that PVP was found was on the surface of the PED in two of the patients. Since the PED does not contain PVP, the researchers focused on other materials used in the endovascular procedure. They suspect that the PVP sloughed off the Cook Shuttle Guiding Sheath that was used to deliver the PED, and they provide videos showing how this may have occurred. The PVP may then have traveled through the vasculature from the site of aneurysm treatment to the location where hemorrhage later occurred.

The researchers discuss the role PVP could have played in the fatal hemorrhages. However, they note that there is no clear-cut evidence that the presence of PVP was the direct or sole cause of fatal brain hemorrhage in these patients. PVP is a component in numerous supplies used in endovascular procedures, and its presence has not been directly linked with catastrophic events. In addition, there are other factors that could cause brain hemorrhage in patients undergoing aneurysm treatment.

The researchers describe and discuss additional potential causes of hemorrhage as well as the possibility that a combination of two or more factors, including PVP, could lead to this serious event. All are detailed in their paper, "Histopathological assessment of fatal ipsilateral intraparenchymal hemorrhages after the treatment of supraclinoid aneurysms with the Pipeline Embolization Device. Report of 3 cases" by Yin C. Hu, M.D., Vivek R. Deshmukh, M.D., Felipe C. Albuquerque, M.D., David Fiorella, M.D., Ph.D., Randal R. Nixon, M.D., Ph.D., Donald V. Heck, M.D., Stanley L. Barnwell, M.D., Ph.D., and Cameron G. McDougall, M.D., F.R.C.S.C., published today online, ahead of print, in the Journal of Neurosurgery.

Despite no indisputable "smoking gun" in these cases, the researchers emphasize that the finding of PVP in cerebral arteries is "a cause of serious concern." They point out that it is possible that some ischemic complications that occasionally occur after endovascular procedures may be due to PVP-clogged arteries that didn't rupture. The researchers urge that more research should be conducted on the relationship between PED procedures and the presence of embolic foreign bodies in the vasculature. The researchers also caution that "a better understanding of the risks associated with particular endovascular devices and combinations of devices is required so that appropriate solutions may be engineered to minimize the risk" to patients.

When asked about the take-home message of this study, Dr. Cameron McDougall of Barrow Neurological Institute said that the discovery of PVP and the possible association between its presence and delayed hemorrhage following PED treatment "only came to light because a group of committed individuals cared deeply about this, communicated their concerns, and worked together to try to understand a problem that none could answer on their own. I think [the study] highlights the importance of vigilance and collaborating, especially around events which are infrequent."

More Details for Interested Readers

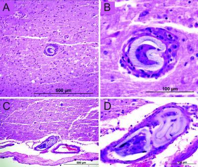
This shows low-power (A) and high-power (B) photomicrographs of an intraarteriolar vascular inclusion. Low-power (C) and high-power (D) photomicrographs demonstrating obstructive vascular inclusions are also found in vessels within the leptomeningeal circulation. The inclusions are polyvinylpyrrolidone.

(Photo Credit: © American Association of Neurosurgeons, 2013.Permission to reproduce this figure must be requested from the Journal of Neurosurgery by emailing permissions@thejns.org.)

An aneurysm is a balloon-like bulge in the weakened wall of a blood vessel. Blood flows in and out of the aneurysm as it moves throughout the body. Because the walls surrounding the aneurysm are weak and blood flow is pressurized, there is a risk for leakage or rupture. When the aneurysm is located along a cerebral artery, the effect of such a rupture can be catastrophic. There are currently three treatments used to reduce the risk of aneurysm leakage: 1) clipping, in which a clip is placed at the base (or "neck") of the aneurysm, preventing it from filling with blood; 2) coiling, in which the aneurysm is filled with small coils that deter blood flow; and 3) flow diversion, in which a self-expanding woven-mesh tube (stent) is placed in the blood vessel at the site of the aneurysm neck, effectively blocking access of blood in and out of the aneurysm and redirecting blood flow back to a normal course through the blood vessel. Clipping involves open surgery. Coiling and flow diversion, considered less invasive than surgery, rely on an endovascular technique in which a device (coil or stent) is threaded through the vascular system to the site of the aneurysm, where it is deposited.

Flow diversion is a recent technique, and the Pipeline™ Embolization Device (PED), manufactured by Covidien/eV3, has proved highly successful in the repair of large-necked aneurysms, which are difficult to repair. Patients are usually sent home the day after treatment. The occurrence of hemorrhage within a few days or weeks after successful PED treatment is both mysterious and worrisome. To find out if the two events could be related, the researchers examined the brains of three patients who died of delayed brain hemorrhage within 2 weeks after successful PED treatment.

With the aid of tissue-staining techniques and microscopy, the researchers found small collections of non-biological foreign matter in the region of hemorrhage in all three patients. This material occluded the insides of small blood vessels and was also found outside the vessels in parts of the brain tissue where hemorrhage was present. In two of the three cases, the material was found on one end of the PED as well, leading the researchers to believe that it was carried downstream from the site of aneurysm repair to the place where hemorrhage occurred.

Additional findings of the tissue examination suggested that the foreign matter may have clogged blood vessels, preventing normal blood flow, and that backed-up blood may have leaked into the brain tissue, which produced the fatal hemorrhages.

Under a microscope, the material seemed identical in all three cases. In two cases, there were sufficient quantities for testing with Fourier transform infrared (FTIR) spectroscopy, which concluded that the material was polyvinylpyrrolidone (PVP). PVP is a common hydrophilic polymer used for a variety of purposes. One of these purposes is as a lubricant coating on catheter-sheaths through which devices, such as the PED or coils, are carried to the site of the aneurysm during endovascular treatment. PVP is not a component of the PED itself.

The researchers examined the endovascular supplies used in all three cases from two institutions (Barrow Neurological Institute in Phoenix and Oregon Health & Science University in Portland) and found three items in common. The researchers were able to narrow the likely contributor of PVP to one item: the Cook Shuttle Guiding Sheath. The paper offers links to two videos showing how PVP can slough off this device during manipulation similar to that used during surgery for placement of the PED.

No definitive statement can be made concerning whether there is a causal relationship between the presence of PVP occluding cerebral blood vessels and the brain hemorrhages that occurred several days after PED-induced blood flow diversion. There could be an entirely different reason for the hemorrhages, or bleeding may have occurred as a result of the interaction of several factors including PVP. The researchers urge that further studies be performed to ascertain the precise reasons for such hemorrhages and to determine what steps must be taken to eliminate these risks of hemorrhage.

Source: Journal of Neurosurgery Publishing Group