Differences in brain structure in patients with distinct sites of chronic pain

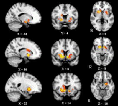
Accumulating evidence indicates that chronic pain of different etiologies is often associated with distinct gray matter volume reductions in multiple brain regions associated with acute pain processing, and gray matter atrophy critically affects the perception and modulation of chronic pain. Dr. Cuiping Mao and co-workers from Xi'an Jiaotong University in China investigated changes in gray matter volume in chronic back pain patients having different sites of pain using voxel-based morphometry. Their findings suggest that regional gray matter volume abnormalities in low back pain patients are more extensive than in upper back pain patients. Subcortical gray matter volume increases are found only in patients with low back pain. The gray matter volume increase in the basal ganglia of low back pain patients might be a reflection of the adaptation of neurons. The relevant article was published in the Neural Regeneration Research (Vol. 8, No. 32, 2013).

In low back pain patients, increased gray matter volume was observed in the bilateral putamen and nucleus accumbens, the left amygdala, the right caudate nucleus and the pallidum revealed by region of interest voxel-based morphometry analyses.

(Photo Credit: Neural Regeneration Research)

Source: Neural Regeneration Research