Diabetes epidemic detected among Xavante indigenous community in Central Brazil

image: Researchers examine retinas and find high prevalence of type 2 diabetes as well as ocular problems caused by the disease

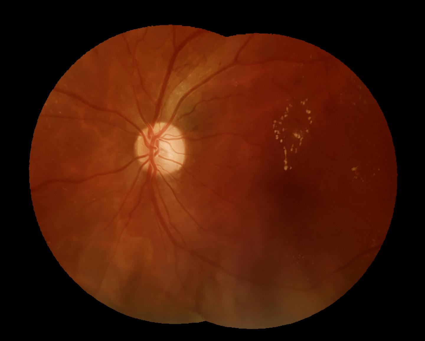
Image: 
Fernando Korn Malerbi

The Xavante, one of the indigenous communities most vulnerable to SARS-CoV-2 in Brazil, are suffering from an epidemic of diabetes, a “silent” disease considered a risk factor for severe COVID-19.

A group of researchers affiliated with the Federal University of São Paulo’s Medical School (EPM-UNIFESP) and the University of São Paulo’s Ribeirão Preto Medical School (FMRP-USP) examined the retinas of 157 individuals before the COVID-19 pandemic and found a high prevalence of type 2 diabetes and eye disorders caused by the disease.

The study was supported by FAPESP, and the results are published in Diabetes Research and Clinical Practice, the official journal of the International Diabetes Federation.

“Ninety-five of the 157 Xavante we examined [60.5%] were diagnosed with diabetes,” Fernando Korn Malerbi, a postdoctoral researcher in the Ophthalmology Department of EPM-UNIFESP and first author of the article published on the study.

According to Malerbi, diabetes can cause ocular problems such as retinopathy. Diabetic retinopathy develops when high blood sugar levels damage blood vessels in the retina, leading to vision loss if left untreated.

To diagnose cases of diabetic retinopathy and other possible eye disorders, the researchers examined members of the Xavante community on the Volta Grande and São Marcos Reservations in the state of Mato Grosso in Brazil’s Center-West region. They used a smartphone-controlled retinal photography system developed by Phelcom Technologies via a project supported by FAPESP’s Innovative Research in Small Business Program (PIPE).

Called the Eyer, the handheld retinograph is an optical device that produces precise images of the retina to detect back-of-the-eye (fundus) disease at a far lower cost than conventional methods. In addition, it has the advantage of being usable for remote diagnosis by an ophthalmologist via telemedicine.

The optical device is connected to a smartphone. It lights up and images the retina, and a specially written software application sends the images over the internet to Eyer Cloud, which stores and manages patient files.

In the absence of Wi-Fi or a 3G or 4G network, the images are stored in the smartphone and sent to the cloud when a broadband internet connection becomes available (read more at: agencia.fapesp.br/30784).

Malerbi personally examined the Xavante volunteers and promptly gave them his diagnosis. “When retinal damage suggesting a risk of blindness was observed via the handheld retinograph, we informed the subjects via an interpreter and referred them to the local indigenous health service for follow-up and treatment,” he said.

Of the 95 individuals with diabetes who underwent the complete ocular imaging protocol, 23 (24.2%) had ungradable images owing to cataract-caused media opacities that precluded evaluation of retinopathy in at least one eye.

Images from the remaining 72 subjects (75.8%) were good enough for diabetic retinopathy to be detected. The researchers found that 16 had the disease, and it was severe enough to be sight-threatening in seven.

“We proved that screening for diabetic retinopathy with a portable retinograph is feasible and economically viable because the technology is inexpensive and can be used in remote communities such as Indian reservations, where the population is usually dispersed in several villages,” Malerbi said.

Deteriorating health

A previous study of eye problems among the Xavante reported diabetic retinopathy prevalence of 19.3% in the same locations. The higher level of prevalence found in this latest study may be due to the superior quality of the retinal camera images compared with the indirect ophthalmoscopy method used in the earlier study.

Another hypothesis is that the health of this indigenous population – one of the largest in Brazil, comprising some 17,000 Indians living on nine reservations – has deteriorated in the intervening years, the researchers surmised.

A previous study showed that 66.1% of 932 members of the Xavante community had metabolic syndrome, defined as a condition in which risk factors for cardiovascular disease and diabetes mellitus occur in the same individual.

For the researchers, the situation reflected changes in health profile and diet in recent decades, especially the consumption of industrialized foods and sedentary living (read more at: agencia.fapesp.br/22624).

“The Xavante were traditionally hunter-gatherers but have become more sedentary. They’ve also changed their diet in recent decades, consuming new foodstuffs with high sugar content,” Malerbi said.

Besides the Xavante, the researchers also examined the retinas of 33 Bororo – another community endangered by both COVID-19 and the bush fires that destroyed much of the Pantanal this year. Seven Bororo were found to have diabetes. One of these was diagnosed with severe diabetic retinopathy and referred to a health service for treatment.

Credit: 
Fundação de Amparo à Pesquisa do Estado de São Paulo