CT findings of coronavirus disease (COVID-19) in children 'often negative'

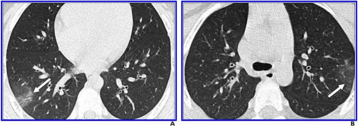
image: A and B, Unenhanced chest CT scans show minimal GGOs (right lower and left upper lobes) (arrows) and no consolidation. Only two lobes were affected, and CT findings were assigned CT severity score of 2.

Image: 
American Journal of Roentgenology (AJR)

Leesburg, VA, May 28, 2020--An investigation published open-access in the American Journal of Roentgenology (AJR) revealed a high frequency of negative chest CT findings among pediatric patients with laboratory-confirmed coronavirus disease (COVID-19), while also suggesting that bilateral, lower lobe-predominant ground-glass opacities (GGOs) are common in the subset of patients with positive CT findings.

"To our knowledge," wrote first author Sharon Steinberger from the Icahn School of Medicine at Mount Sinai, "this case series is the largest series to date that describes the imaging findings of pediatric patients with COVID-19."

Reviewing the CT findings and clinical symptoms of 30 pediatric patients (aged 10 months to 18 years) who tested positive for COVID-19 via quantitative real-time reverse transcription-polymerase chain reaction (rRT-PCR) at six centers in China from January 23 to February 8, 2020, Steinberger and colleagues noted that two cardiothoracic radiologists and a cardiothoracic imaging fellow characterized and scored the extent of lung involvement.

"CT findings were often negative (77%)," Steinberger et al. concluded, adding that positive CT findings seen in children included GGOs with peripheral lung distribution, crazy paving pattern, as well as the halo and reverse halo signs.

Consistent with reported symptomatology in children, the authors of this AJR article also observed a correlation between increasing age and increasing severity of findings.

Further questioning the utility of CT in the diagnosis and management of COVID-19 in children, 11 of 30 patients (37%) underwent follow-up chest CT--with 10 of 11 examinations (91%) showing no change.

Credit: 
American Roentgen Ray Society