Comparing combination therapies for advanced head and neck cancer shows no improvement

CHAPEL HILL, N.C. - Locally advanced squamous cell carcinoma of the head and neck is a potentially curable disease in nearly every patient at the time of diagnosis, yet despite the most aggressive efforts, up to 30-50 percent of patients may ultimately succumb to the disease. For diseases where outcomes are so uncertain, medical science frequently addresses the need by intensifying therapy. In the case of head and neck cancer, one of the great questions of the current day is whether or not addition of multiple drugs to radiation therapy is superior to the current standard of care therapy with one drug and radiation. In particular, physicians have wondered if the addition of the more tolerable targeted biologic therapy to chemotherapy results in improved patient outcomes. Unfortunately, the data suggests that it does not.

A team of scientists, including Neil Hayes, MD, MPH, from UNC Lineberger Comprehensive Cancer Center, report results of a clinical trial comparing treatments for this cancer, the seventh most common tumor type in the United States.

Standard therapy for SCCHN is a combination of the drug cisplatin and radiotherapy. The clinical trial compared this combination to the combination with the addition of a small-molecule inhibitor of the epidermal growth factor receptor called Erlotinib. EGFR is a therapeutic target for this type of cancer and at least one other EGFR is approved for multiple uses in the treatment of head and neck cancer, including in combination with radiation. To date, no data has been published on the use of EGFR inhibitors in combination with chemotherapy and radiation.. The goal of the current study was to determine if adding EGRF inhibition improved efficacy when combined with standard of care radiation. Unfortunately, it improved neither clinical response rate nor progression free survival.

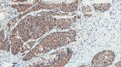
This is a squamous cell carcinoma of the head and neck staining for p16, a tumor suppressor protein. Staining positive for p16 was associated with longer progression free survival in all patients but was not associated with response to treatment.

(Photo Credit: Hayes Lab, UNC)

Their results were published in the early online March 4, 2013 issue of the Journal of Clinical Oncology.

Dr. Hayes, associate professor of medicine, explains, "There has been great enthusiasm and some confusion about the combinations of chemotherapy and biologic therapy such as EGFR inhibitors in conjunction with radiation in the treatment of squamous cell carcinomas of the head and neck. For the moment, the data are clearly showing no added benefit. Since the study was initially designed, it is interesting to note that novel theories have emerged about subgroups of patients who might be more likely to benefit from the specific therapies under consideration. Future investigations will clearly rely more on patients selected by the molecular tumor characteristics."

Between December 2006 and October 2011, 204 patients with locally advanced SCCHN were recruited to the study. Participants were assigned to receive either cisplatin and radiotherapy or the same chemoradiotherapy with Erlotinab.

Source: University of North Carolina Health Care