Chinese researchers detail chest CT findings in coronavirus disease (COVID-19) pneumonia

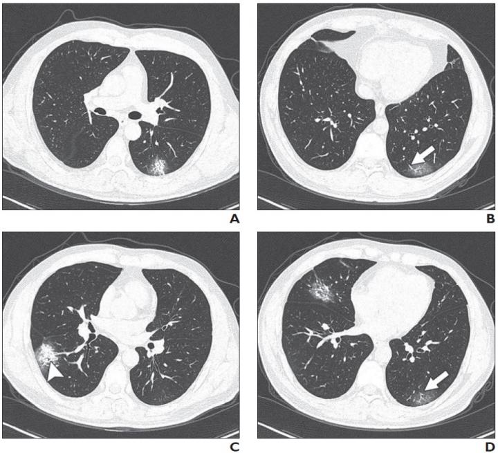
image: Patient had short-term exposure history to Wuhan and onset symptoms of fever (38°C) and cough. CT was performed on day of admission. A-D, CT images show bilateral multifocal ground-glass opacities (GGO) and mixed GGO and consolidation lesions. Traction bronchiectasis (arrowhead, C) and vascular enlargement (arrow, B and D) are also present. CT involvement score is 5.

Image: 
<i>American Journal of Roentgenology</i> (AJR)

Leesburg, VA, March 3, 2020--A multi-center study (n=101) of the relationship between chest CT findings and the clinical conditions of coronavirus disease (COVID-19) pneumonia--published ahead-of-print and open-access in the American Journal of Roentgenology (AJR)--determined that most patients with COVID-19 pneumonia have ground-glass opacities (GGO) (86.1%) or mixed GGO and consolidation (64.4%) and vascular enlargement in the lesion (71.3%).

In addition, lead authors Wei Zhao, Zheng Zhong, and colleagues revealed that lesions present on CT images were more likely to have peripheral distribution (87.1%) and bilateral involvement (82.2%) and be lower lung predominant (54.5%) and multifocal (54.5%).

Zhao, Zhong, et al. collected their 101 cases of COVID-19 pneumonia across four institutions in China's Hunan province, comparing clinical characteristics and imaging features between two groups: nonemergency (mild or common disease) and emergency (severe or fatal disease).

Accordingly, most of the cohort (70.2%) were 21-50 years old, and most patients (78.2%) had fever as the onset symptom. Only five patients showed disease associated with a family outbreak.

While the emergency group patients were older than the patients in the nonemergency group, the rate of underlying disease was not significantly different in the two groups--suggesting that viral load could be a better reflection of the severity and extent of COVID-19 pneumonia.

As Zhao and Zhong explained further: "Architectural distortion, traction bronchiectasis, and pleural effusions, which may reflect the viral load and virulence of COVID-19, were statistically different between the two groups and may help us to identify the emergency type disease."

The authors of this AJR article also noted that CT involvement score can help evaluate the severity and extent of COVID-19 pneumonia.

Credit: 
American Roentgen Ray Society