Cells must age for muscles to regenerate in muscle-degenerating diseases

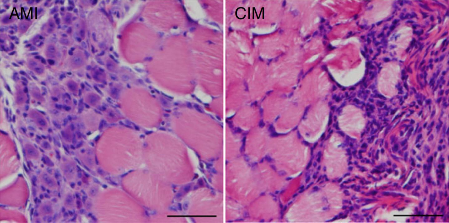
image: Regenerating fibers with central nuclei in muscles suffering from acute muscle injury (AMI; left), and fibrosis and inflammatory cells in chronic inflammatory myopathy (CIM; right). (Yuki Saito et al., Nature Communications. February 14, 2020)

Image: 
Yuki Saito et al., <i>Nature Communications</i>. February 14, 2020

Exercise can only improve strength in muscle-degenerating diseases when a specific type of muscle cell ages, report a Hokkaido University researcher and colleagues with Sapporo Medical University in Japan. Their findings utilizing mice models were published in the journal Nature Communications.

Idiopathic inflammatory myopathies are rare diseases that cause muscle weakness, inflammation, and fibrosis. In addition to drugs, exercise can be powerful therapy for some patients. But in cases of chronic inflammatory myopathy, exercise can actually induce inflammation and fibrosis in muscles. Scientists have been wanting to understand why exercise benefits some myopathies but not others.

Takako S. Chikenji of Hokkaido University collaborated with Yuki Saito and Mineko Fujimiya of Sapporo Medical University in Japan to investigate why a type of muscle cell, called fibro-adipogenic progenitors (FAPs), responds differently to physical exercise depending on the type of myopathy. These cells are a key regulator of the muscle stem cells needed for regeneration.

They investigated what happens when mice with myopathy exercise. In mice with acute muscle injury which simulates idiopathic inflammatory myopathy, they found FAPs initially increased but then returned to pre-damage levels after seven days. These FAPs eventually died and were cleared by cell-eating immune cells called phagocytes. In mice with chronic inflammatory myopathy, FAPs continued to proliferate for 14 days and were resistant to cell death and clearance by immune cells.

Investigating further, the team found that FAPs in mice with acute muscle injury showed strong signs of aging after exercise while FAPs in mice with chronic inflammatory myopathy didn't. They also found that normal FAPs induced regeneration of muscle cells after acute muscle injury while FAPs lacking a cellular aging-inducing factor didn't. These results together showed the aging of FAPs after exercise is necessary to establish a state of regenerative inflammation that induces muscle regeneration.

Moreover, the combination of exercise and administrating drugs which induce cellular aging restored FAP aging and improved muscle function and regeneration in mice with chronic inflammatory myopathy.

"Our findings demonstrate that exercise leads to muscle degeneration in chronic inflammatory myopathy because FAPs accumulate when they fail to age," says Takako S. Chikenji. "Pharmacological induction of FAP senescence dramatically improved the therapeutic effects of exercise in mice with chronic myopathy. Further research is needed to investigate whether this strategy could be used to treat this condition in humans."

Credit: 
Hokkaido University