Cell antennas lacking in Fragile X syndrome, study finds

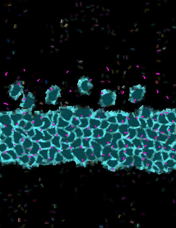
image: Structures called primary cilia - which act like TV antennas for cells to detect signals - are present in fewer numbers in mice born with Fragile X syndrome, according to researchers from The University of Texas Health Science Center at San Antonio (UT Health San Antonio). Study results were published July 30 in the journal Stem Cell Reports. Primary cilia are the pink dots in this image of neurons.

Image: 
UT Health San Antonio Laboratory of Hye Young Lee, PhD

Structures called primary cilia - which act like TV antennas for cells to detect signals - are present in fewer numbers in mice born with Fragile X syndrome, according to researchers from The University of Texas Health Science Center at San Antonio (UT Health San Antonio). Study results were published July 30 in the journal Stem Cell Reports.

Fragile X syndrome is a genetic disorder often accompanied by mild to severe intellectual disability. Autism spectrum disorders frequently occur in the affected children. Understanding the role of primary cilia deficits in Fragile X syndrome and autism and developing novel therapeutics to increase their numbers could lead to reversing these neurodevelopmental disorders, said study senior author Hye Young Lee, PhD, of UT Health San Antonio.

The research team focused on primary cilia located in a brain structure called the dentate gyrus. It is part of the hippocampus, a learning and memory command center. The reduction of primary cilia was specifically noted in the dentate gyrus, Dr. Lee and her colleagues found.

The dentate gyrus is one of two brain structures that contain neuronal stem cells, she said. The dentate gyrus serves as a nursery for newborn neurons, which depend on the primary cilia to enable their maturation.

Primary cilia have not previously been linked to Fragile X syndrome, Dr. Lee said.

"If we get to know how the primary cilia work in the newborn neuron and how they contribute to Fragile X syndrome, the next step would be to promote them," Dr. Lee said.

"There are drugs to do that, and they could be potential therapies for Fragile X syndrome and other neurodevelopmental disorders, because there are multiple studies showing that neurodevelopmental disorders and autism can be reversed in adults," Dr. Lee said.

Credit: 
University of Texas Health Science Center at San Antonio