Cancer cell's 'self eating' tactic may be its weakness

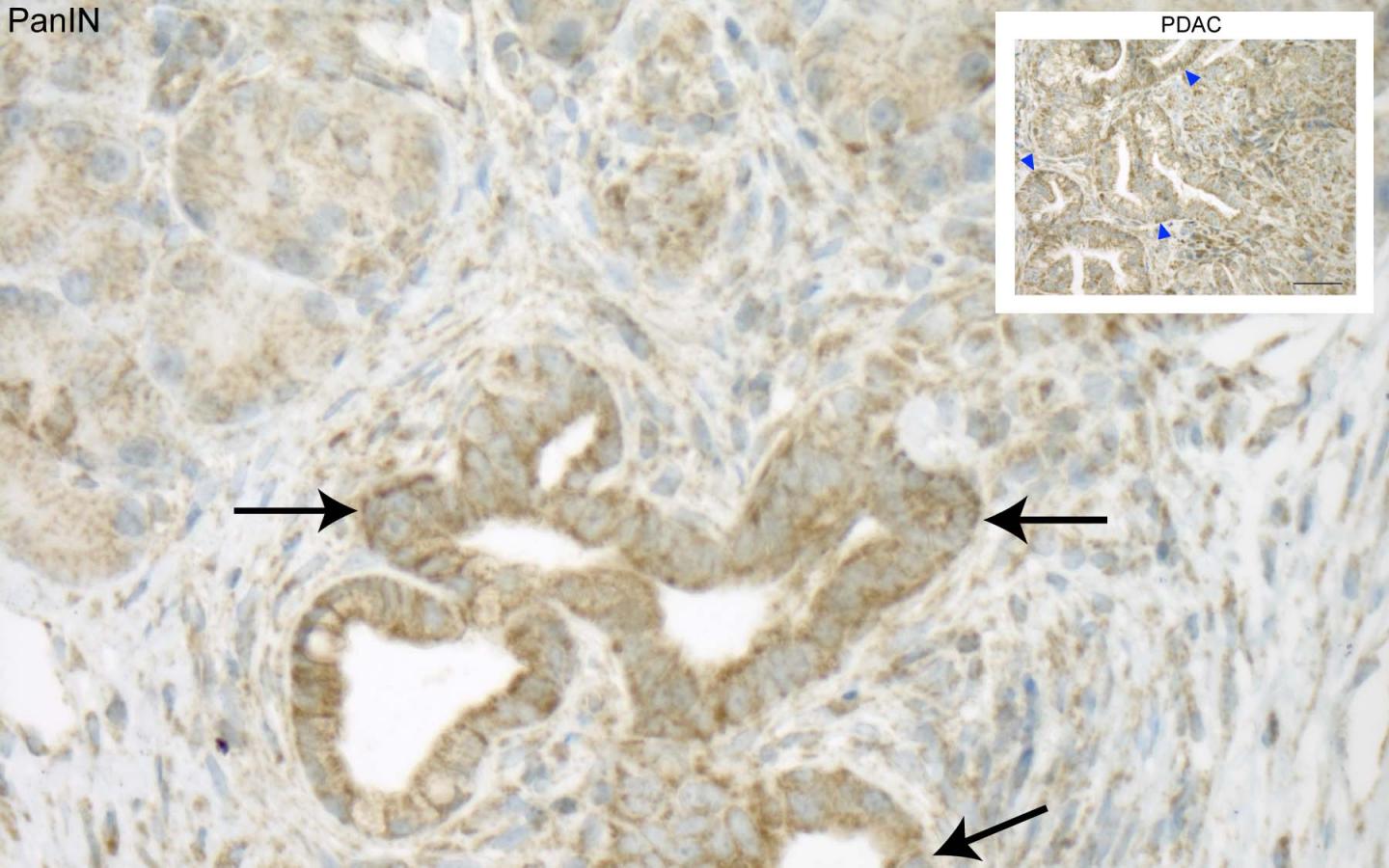
image: Evidence of activity involving the NIX protein (brown staining) is seen in common precursor lesions (PanIN) for pancreatic cancer. NIX activity escalates in full pancreatic ductal adenocarcinoma (PDAC), the most common of pancreas cancers. NIX is directly responsible for triggering mitophagy, or "self eating" of mitochondria.

Image: 
Tuveson lab/CSHL

Cold Spring Harbor, NY -- Cancer cells use a bizarre strategy to reproduce in a tumor's low-energy environment; they mutilate their own mitochondria! Researchers at Cold Spring Harbor Laboratory (CSHL) also know how this occurs, offering a promising new target for pancreatic cancer therapies.

Why would a cancer cell want to destroy its own functioning mitochondria? "It may seem pretty counterintuitive," admits M.D.-Ph.D. student Brinda Alagesan, a member of Dr. David Tuveson's lab at CSHL.

https://www.youtube.com/watch?v=jZZ8lGZf7G0

According to Alagesan, the easiest way to think about why cancer cells may do this is to think of the mitochondria as a powerplant. "The mitochondria is the powerhouse of the cell," she recites, recalling the common grade school lesson. And just like a traditional powerplant, the mitochondria create their own pollution.

"These harmful byproducts, or pollutants, are called reactive oxygen species, or ROS," Alagesan adds. "A lot of it can be damaging to cells. We believe that [by eating their own mitochondria] the pancreatic cancer cells are reducing the production of these damaging ROS while still making enough energy to proliferate."

This is still a hypothesis but it could explain why pancreatic cancer cells become prone to mitophagy, a form of autophagy or 'self eating' of their mitochondria.

In the journal Cancer Discovery, Alagesan and co-lead author Dr. Timothy Humpton describe what happens when a protein called KRAS becomes active in the uniquely nutrient-depleted environment of a pancreas tumor. KRAS starts a "signaling cascade" which results in the cell eating its own mitochondria and the diversion of glucose and glutamine away from the remaining mitochondria. These diverted nutrients are used to support cell division.

"Ideally, we would want to inhibit the cancer promoting KRAS protein directly, but unfortunately so far no one has been able to do that in a clinically relevant way," Alagesan explains.

Instead of stopping KRAS directly, the Tuveson team traced the cascade of protein signals that follows KRAS activation. They found one pathway which leads to an increase in the protein NIX. NIX is directly responsible for triggering that mitophagy stage which appears to be so crucial for cancer cell proliferation.

"Results in mice are showing us that, by inhibiting the NIX pathway, we might prevent cancer cells from using energy the way they need to in order to proliferate," Alagesan says.

The Tuveson team is now turning its attention to disrupting this same NIX pathway in human pancreatic cancer cells, and applying this to the design of clinical trials.

Credit: 
Cold Spring Harbor Laboratory