Brain chemical ratios help predict developmental delays in preterm infants

OAK BROOK, Ill. – Researchers have identified a potential biomarker for predicting whether a premature infant is at high risk for motor development problems, according to a study published online in the journal Radiology.

"We are living in an era in which survival of premature birth is more common," said Giles S. Kendall, Ph.D., consultant for the neonatal intensive care unit at University College London Hospitals NHS Foundation Trust and honorary senior lecturer of neonatal neuroimaging and neuroprotection at the University College London. "However, these infants continue to be at risk for neurodevelopmental problems."

Patients in the study included 43 infants (24 male) born at less than 32 weeks gestation and admitted to the neonatal intensive care unit (NICU) at the University College of London between 2007 and 2010. Dr. Kendall and his research team performed magnetic resonance imaging (MRI) and MR spectroscopy (MRS) exams on the infants at their approximate expected due dates (or term-equivalent age). MRS measures chemical levels in the brain.

The imaging studies were focused on the white matter of the brain, which is composed of nerve fibers that connect the functional centers of the brain.

"The white matter is especially fragile in the newborn and at risk for injury," Dr. Kendall explained.

One year later, 40 of the 43 infants were evaluated using the Bayley Scales of Infant and Toddler Development, which assess fine motor, gross motor and communication abilities. Of the 40 infants evaluated, 15 (38 percent) had abnormal composite motor scores and four (10 percent) showed cognitive impairment.

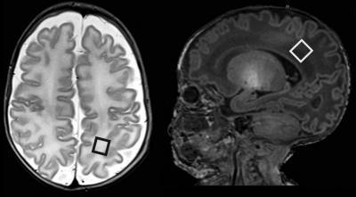
Axial T2-weighted (left) and sagittal T1-weighted (right) MR images show position and orientationof posterior white matter point-resolved spectroscopy voxel.

(Photo Credit: Radiological Society of North America)

Statistical analysis of the MRS results and Bayley Scales scores revealed that the presence of two chemical ratios—increased choline/creatine (Cho/Cr) and decreased N-acetylaspartate/choline (NAA/Cho)—at birth were significantly correlated with developmental delays one year later.

"Low N-acetylaspartate/choline and rising choline/creatine observed during MRS at the baby's expected due date predicted with 70 percent certainty which babies were at high risk for motor development problems at one year," Dr. Kendall said.

Dr. Kendall said a tool to predict the likelihood of a premature baby having neurodevelopmental problems would be useful in determining which infants should receive intensive interventions and in testing the effectiveness of those therapies.

"Physiotherapy interventions are available but are very expensive, and the vast majority of premature babies don't need them," Dr. Kendall said. "Our hope is to find a robust biomarker that we can use as an outcome measure so that we don't have to wait five or six years to see if an intervention has worked."

Dr. Kendall said severe disability associated with premature births has decreased over the past two decades as a result of improved care techniques in the NICU. However, many premature infants today have subtle abnormalities that are difficult to detect with conventional MRI.

"There's a general shift away from simply ensuring the survival of these infants to how to give them the best quality of life," he said. "Our research is part of an effort to improve the outcomes for prematurely born infants and to identify earlier which babies are at greater risk."

Source: Radiological Society of North America