Atherosclerosis progresses rapidly in healthy people from the age of 40

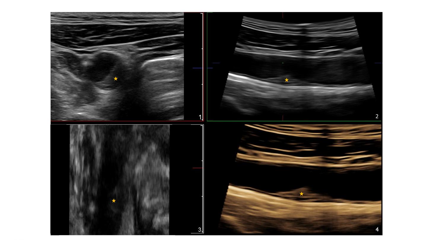
image: Asterisks indicate the presence of an atherosclerotic plaque in the common carotid artery detected by 3D ultrasound. The plaque does not cause significant obstruction of the artery (

Image: 
CNIC

Almost half of apparently healthy people between the ages of 40 and 50 could be accumulating fatty plaques--atheromas--in their arteries at a much faster rate than was previously thought. The Journal of American College of Cardiology (JACC) has today published new data from the PESA-CNIC-Santander study demonstrating that atheroma plaques extend rapidly through the arteries of 40% of asymptomatic individuals aged between 40 and 50 years.

Researchers at the Centro Nacional de Investigaciones Cardiovasculares (CNIC), led by Dr Valentín Fuster, Director of the CNIC and lead investigator on the PESA-CNIC-Santander study, have also found that the progression of atherosclerosis is directly related to classical cardiovascular risk factors: age, sex, hypertension, cholesterol, smoking, and diabetes.

PESA ('Progression of early subclinical atherosclerosis') is a partnership between the CNIC and Santander Bank. The study has been monitoring 4200 healthy middle-aged men and women with noninvasive imaging technology and omics biomarkers for more than 10 years. The use of noninvasive imaging technologies, says Dr Fuster, "allows us to identify the progression of the disease earlier than is possible with classical markers, such as the presence of coronary calcium detected by computed tomography (CT), thus allowing us to identify individuals at higher risk who could benefit from early intervention."

The simpler imaging techniques like 2D and 3D ultrasound are accessible and do not involve exposure to radiation. With these techniques, explains CNIC Clinical Research Director Dr Borja Ibañez, "we can detect and quantify the burden and volume of atherosclerotic disease and precisely monitor its progression, thus identifying individuals who stand to benefit from earlier and more intensive prevention."

The 2019 European Prevention Guidelines recognize the utility of imaging techniques to evaluate cardiovascular risk in individuals beyond the conventional risk factors of age, sex, hypertension, cholesterol, smoking, and diabetes. "The recommended technique is low dose radiation CT, which evaluates the presence of calcium in the coronary arteries as an indirect measure of the presence of atherosclerotic plaques. But the guidelines also highlight the value of ultrasound to evaluate the burden of atherosclerosis in the carotid and femoral arteries."

The JACC article presents a 3-year follow-up study of the PESA cohort that makes the first direct comparison between these two imaging-based risk markers: coronary calcium by CT and atherosclerosis burden in the carotid and femoral arteries by 2D and 3D ultrasound. "The results show that ultrasound of the peripheral arteries is a more efficient method for detecting atherosclerosis progression than the study of coronary calcium by CT," said lead author Dr Beatriz López-Melgar.

Atherosclerosis is characterized by the accumulation of fatty deposits in the artery walls. The disease is normally detected at an advanced stage, when it has already caused clinical events such as a heart attack or stroke. Treatment of the disease at this symptomatic stage is of limited effectiveness, and most patients experience a decline in quality of life. The treatment of these patients, moreover, places a significant burden on health care resources.

"This study is the first to analyze the progression of atherosclerosis at frequent intervals. The previous view was that the disease progressed very slowly throughout life. However, the new results show that the disease progressed very rapidly in 40% of the individuals analyzed," said Dr Ibañez. "Future data from the PESA study will show whether this progression is associated with subsequent cardiovascular events. Until now, the speed of atherosclerosis progression has not been a factor in assessing individual risk."

A previous PESA analysis had already shown that atherosclerosis is generally present in young middle-aged individuals. "With the new study, we have shown how atherosclerosis progresses in its initial phases, before the development of symptoms," emphasized Dr Fuster.

"The key finding of the study is that over a short follow-up of just 3 years, 40% of individuals aged between 40 and 50 years showed major progression of atherosclerosis in distinct locations, including the carotid, femoral, and coronary arteries," emphasized Dr López-Melgar. "This rapid disease progression could make these individuals more vulnerable to developing symptoms or having clinical events such as a heart attack or stroke."
The researchers conclude that the findings, while they await validation from the occurrence of events in the PESA cohort in the future, will be of great value for the identification of strategies to stall the epidemic of cardiovascular disease.

Credit: 
Centro Nacional de Investigaciones Cardiovasculares Carlos III (F.S.P.)