7.0T NMR assesses changes in hippocampal neurons in animal models of Alzheimer's disease

Magnetic resonance spectroscopy can quantitatively analyze in vivo abnormalities of biochemical metabolism within brain tissue in a noninvasive and non-radioactive manner. Compared with 3.0T magnetic resonance spectroscopy, high-field magnetic resonance spectroscopy (≥ 7.0T) exhibits high spatial resolution and density resolution, microscopic imaging of the living body, and obtains both high scanning resolution and result precision within a shorter scan time, thus providing a higher value in clinical diagnosis. In a recent study reported in the Neural Regeneration Research (Vol. 9, No. 4, 2014), 7.0T magnetic resonance spectroscopy showed that in the hippocampus of Alzheimer's disease rats, the N-acetylaspartate wave crest was reduced, and the creatine and choline wave crest was elevated. This finding was further supported by hematoxylin-eosin staining, which showed a loss of hippocampal neurons and more glial cells. Moreover, electron microscopy showed neuronal shrinkage and mitochondrial rupture, and scanning electron microscopy revealed small size hippocampal synaptic vesicles, incomplete synaptic structure, and reduced number. Overall, these findings from Lei Zhang and co-workers from Beijing Tiantan Hospital Affiliated to Capital Medical University in China revealed that 7.0T high-feld nuclear magnetic resonance spectroscopy detected the lesions and functional changes in hippocampal neurons of Alzheimer's disease rats in vivo, allowing the possibility for assessing the success rate and grading of the animal model of Alzheimer's disease.

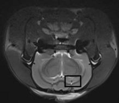
The MRI T2-weighted images showed no significant difference in rats 2 weeks after Alzheimer's disease was induced.

(Photo Credit: Neural Regeneration Research)

Source: Neural Regeneration Research